![]() |
||
![]() |
![]() |
![]() |
Surbgingival Margin
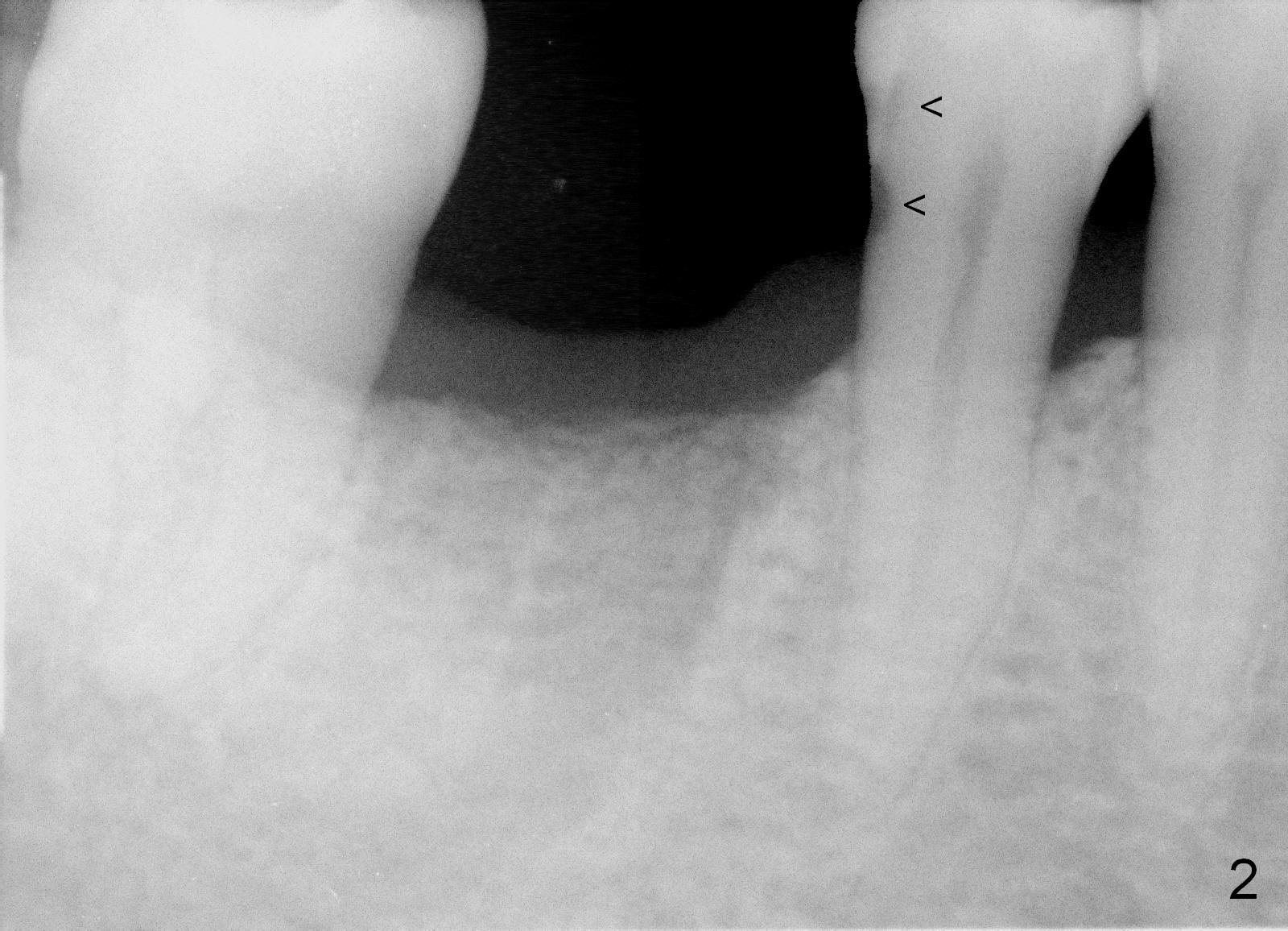
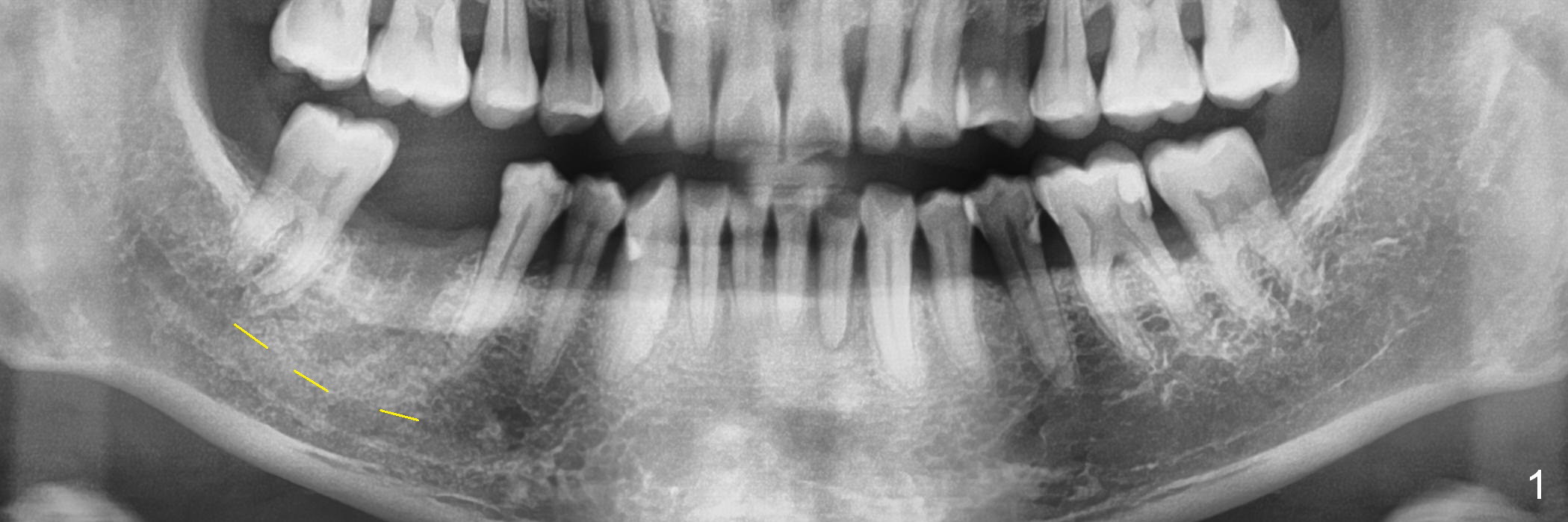
A 44-year-old man lost the tooth #30 three months ago. He is very nervous about the Inferior Alveolar Nerve (Fig.1,3 yellow dashed line). Offer Valium if needed. Check whether there is DO caries of the tooth #29 (Fig.2 <). Finish composite if indicated. There is mild to moderate buccal plate atrophy. The implant may have to be placed slightly lingually. When the insertion torque is high, place an abutment (Fig.3 white inverted cup) with subgingival margin (arrowheads: gingival margin) so that the emergency profile of the crown is better. Make an ideal immediate provisional with good emergency profile and place sutures. The mesial bone may have to be trimmed (Fig.4 red area) so that the abutment is able to be seated without interference. Take photo at each step.
Return to Lower Molar Immediate Implant,
Posterior Immediate Provisional
Xin Wei, DDS, PhD, MS 1st edition 03/31/2016, last revision 04/14/2016