![]() |
![]() |
|
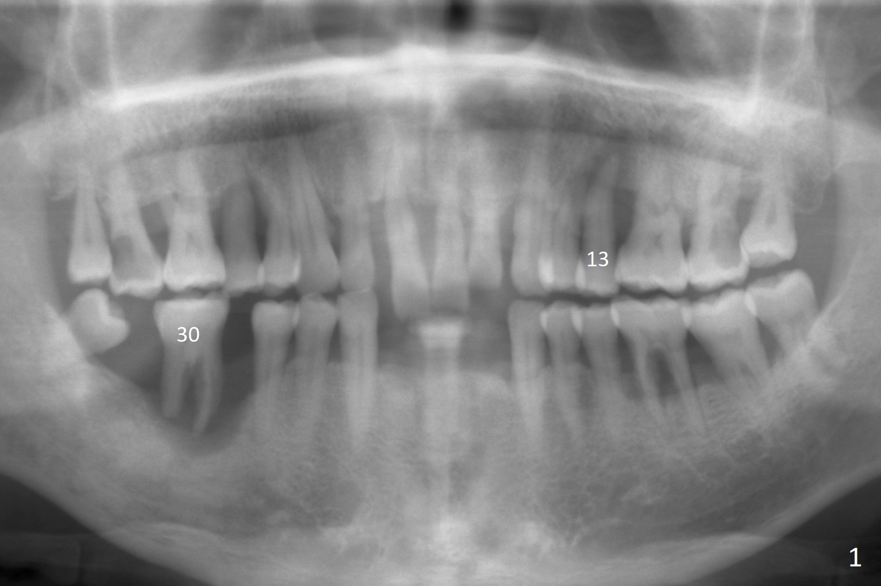
Drifting Molar A 57-year-old man has advanced periodontitis with bruxism. The mobile teeth #13 and 30 are his main concern (Fig.1). The tooth #30 has shifted distally. An implant will be placed in the mesial socket, if present. Due to severe bone loss, a 7 mm long abutment with 6 mm cuff is most likely to be used (Fig.2). Since the socket is huge, prepare large piece of gauze for hemostasis. Osteotomy should be initiated as buccal as possible, as the Inferior Alveolar Canal is near the lingual plate at the 1st molar. Prepare Sinus Master Kit. Why? Always take PA after initial drill to avoid violating the Canal. It may be ok to see the overlapping between the parallel pin and the Canal. Do not administer the Inferior Alveolar nerve block. Return to
Lower
Molar Immediate Implant, Prevent
Molar Periimplantitis (Protocols,
Table), IBS,
Metronidazole Xin Wei, DDS, PhD, MS 1st edition 06/23/2017, last revision 06/30/2017 |