![]() |
![]() |
![]() |
Long Implant
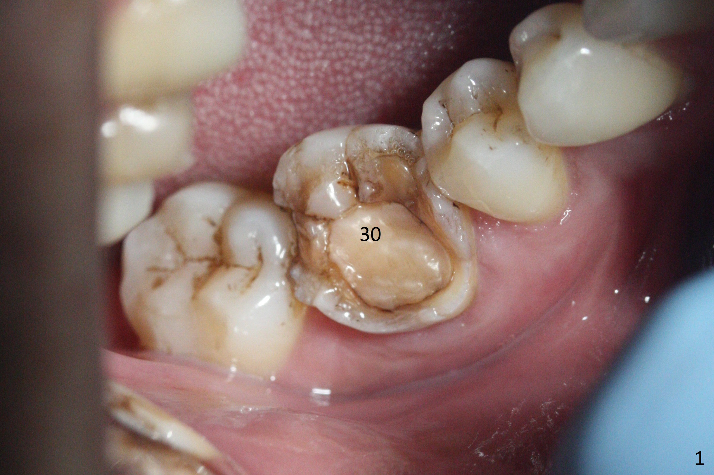
A 34-year-old man has a mobile molar post RCT (Fig.1,3) with lingual gingival recession (Fig.2). Possible bone defect is about 9 mm (Fig.3: purple line). There is approximately 7 mm native bone for primary stability (yellow line). Possible length of the implant to be placed will be 16 mm (9+7). Since the lingual gingiva is recessive (Fig.2), the osteotomy will be initiated more or less in the center of the socket bottom.
Return to Lower Molar Immediate Implant, Prevent Molar Periimplantitis (Protocols, Table), IBS, Clindamycin Xin Wei, DDS, PhD, MS 1st edition 06/21/2017, last revision 07/21/2018