![]() |
![]() |
![]() |
Flapless for Moderate Ridge
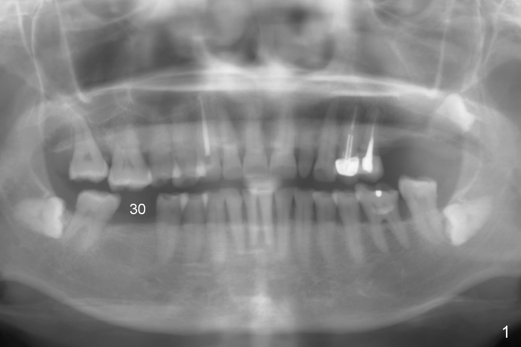
A 57-year-old woman has 3 missing molars, including #30 (Fig.1). Although she looks skinny, clinically the ridge is moderately wide. Magic Split will be used for access (flapless) and bone density testing. From PA, the bone density does not seem to be low (Fig.2). Use the 1.6 mm drill without stopper for further bone density testing. The initial depth will be 15 mm (gingival level, Fig.3). After PA confirmation of the trajectory, use 3.8 mm Magic Drill for 15 mm. Try 4.5x11 mm dummy implant, followed by PA. When an abutment is placed, trim the opposing surpraerupted tooth if necessary (Fig.3 arrow).
Return to
Lower
Molar Immediate Implant, IBS
Xin Wei, DDS, PhD, MS 1st edition 03/11/2017, last revision 03/11/2017