![]() |
![]() |
![]() |
Pyramidal Ridge
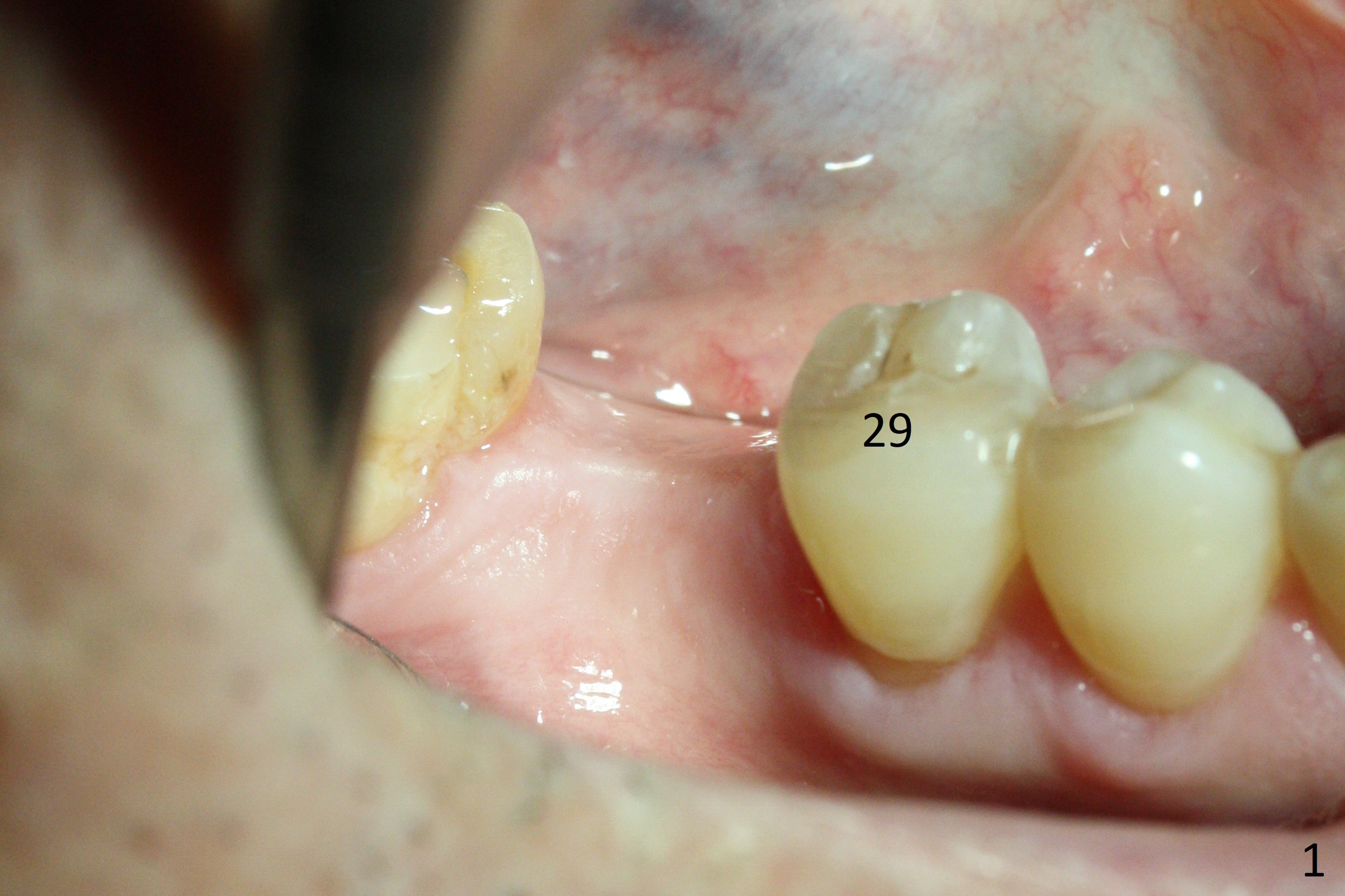
A 51-year-old man has a pyramidal ridge at #30 (Fig.1) with mild supraeruption of the opposing tooth (Fig.2 arrow). Ridge reduction will be done (Fig.3 red curved lines) prior to Bicon implant placement (green). A healing abutment is to be placed, followed by periodontal dressing.
Return to
Lower
Molar Immediate Implant, IBS
Xin Wei, DDS, PhD, MS 1st edition 11/02/2017, last revision 11/02/2017