![]() |
|
![]() |
Bicon
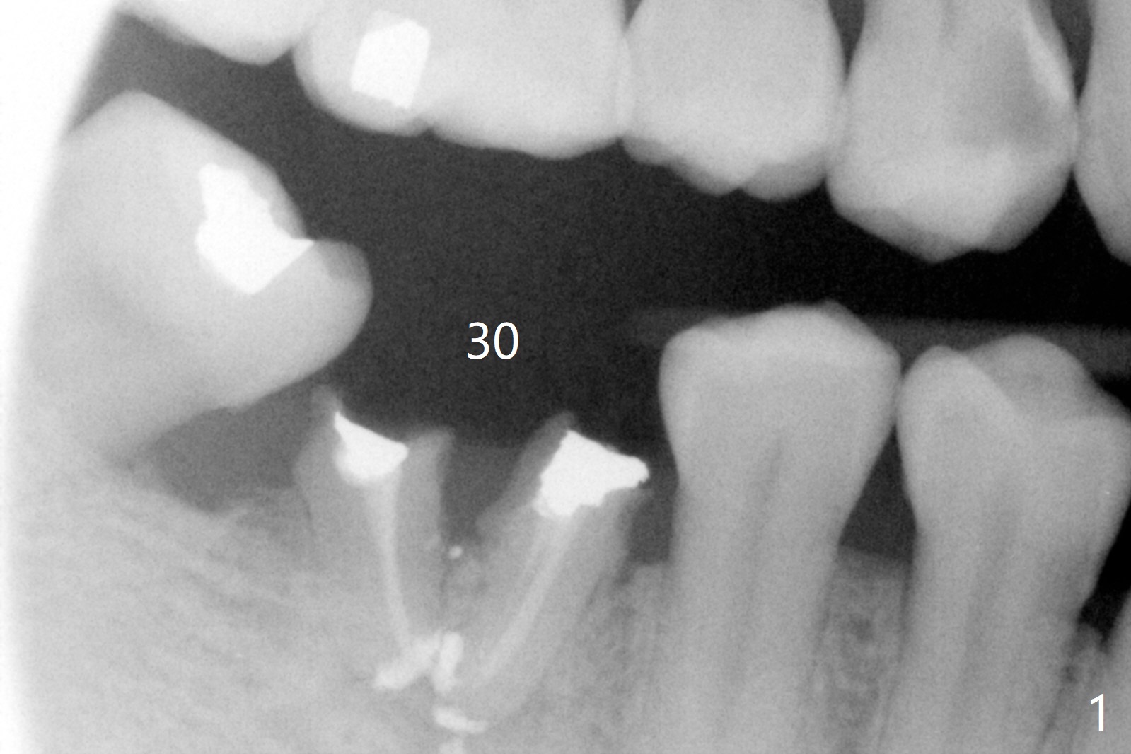
A 50-year-old man has poor dentition, including residual roots at #30 (Fig.1). In 9 years, the residual roots have migrated coronally (Fig.2 arrow). It appears that the bone height increases. Insert periodontal dressing into the mesial undercut of the tooth #31 (post scaling) and around an abutment for retention. Try IS implants if they arrive.
Return to
Lower
Molar Immediate Implant, Prevent
Molar Periimplantitis (Protocols,
Table),
Armaments,
Clindamycin
Xin Wei, DDS, PhD, MS 1st edition 10/28/2017, last revision 06/17/2018