![]() |
![]() |
![]() |
![]() |
![]() |
![]() |
FC Implants Instead of Magicore
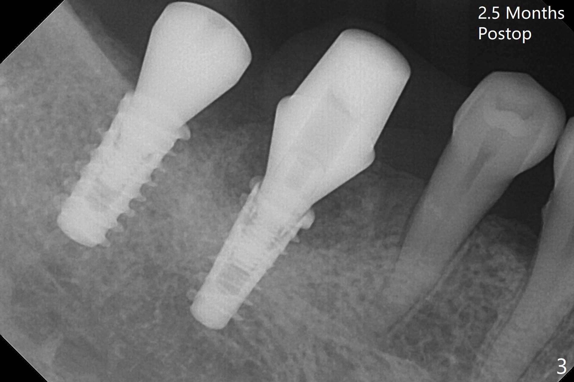
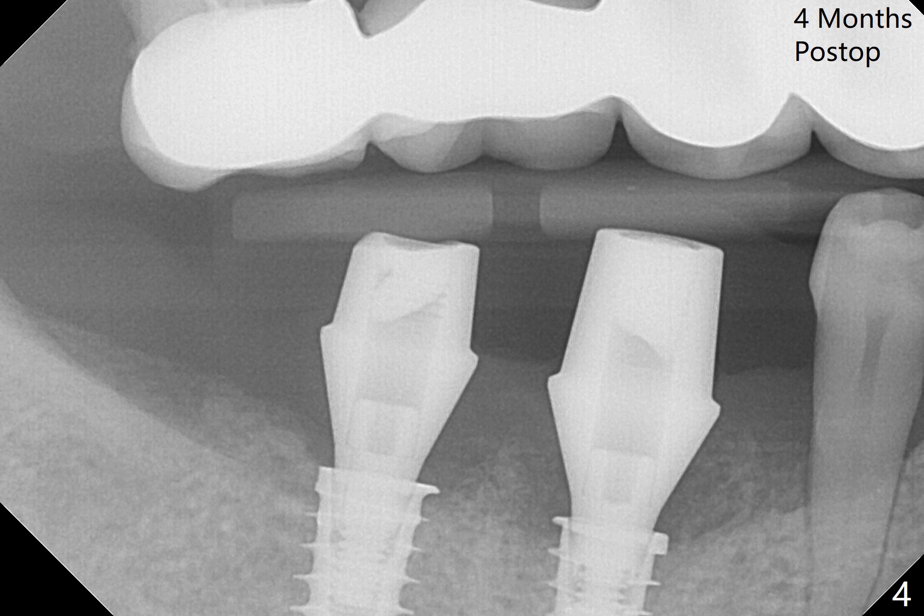
Following osteotomy, 4.5x11 and 5x9 mm dummy implants are placed at the sites of #30 and 31, respectively (Fig.1). Due to limited inventory of Magicore and patient's in-cooperation, FC implants (4.5x9 and 5x9 mm) are placed (Fig.2). A healing abutment (6x4 mm) is placed at #31 because of low torque (overprep), while a pair abutment (6.5x5.7(4) mm) is placed at #30. Vera Graft is placed with autogenous bone (*). The implant/abutment ratio at #30 is unfavorable. If the implant turns out to be loose, immediate implant should be larger in the future. Note bone growth, especially at #30, 2.5 and 4 months postop (Fig.3,4). In fact the abutments are incompletely seated. The crown of #30 is loose 2 years 8 months post cementation, while the abutment at #31 remains incompletely seated (Fig.5). The latter is completely reseated after separating the crown, while a smaller one is seated at #30 (Fig.6) due to use of a small healing abutment earlier (Fig.5). A good piece of news is the presence of the bone between the implants (Fig.5,6 *), which contributes to interimplant papilla. Return to Lower Molar Immediate Implant, Prevent Molar Periimplantitis (Protocols, Table), IBS77, 2-5 Xin Wei, DDS, PhD, MS 1st edition 09/22/2017, last revision 12/01/2020