Where Should an Implant be Placed?

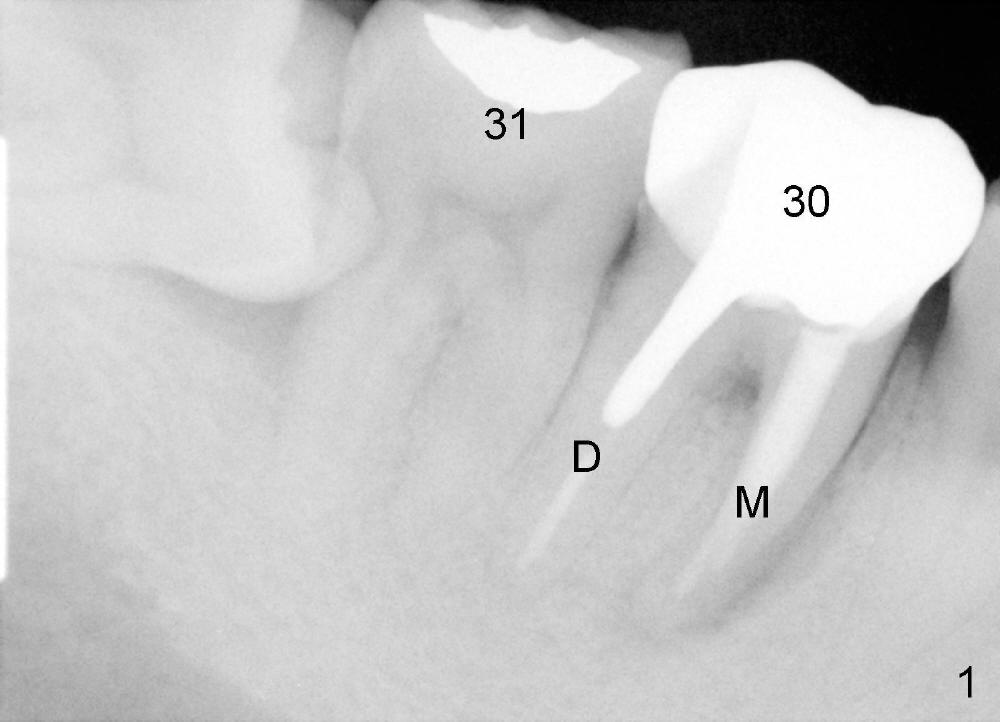
A 40-year-old man presents to clinic with chief complaint of pain in the lower right 1st molar.  Exam reveals a fistula in the mesiobuccal area.  PA shows a large radiolucency associated with the mesial root.  Where should an immediate implant be placed?

Lower Molar Immediate Implant

Xin Wei, DDS, PhD, MS 1st edition 07/16/2014, last revision 07/17/2014