A 3x12 mm 1-piece implant is placed at #30, while a 4.5x10 mm 2-piece one at #31 (Fig.5).  The residual root at #32 is subsequently extracted.

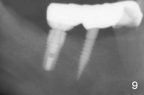
Bone loss around the implants remains minimal 7 months post cementation (10 months postop, Fig.9).

3rd Molar Implant? Last Next

Xin Wei, DDS, PhD, MS 1st edition 11/05/2015, last revision 10/20/2018