![]() |
|
||
|
|
![]() |
![]() |
|
|
|
|
Mesial Socket Placement
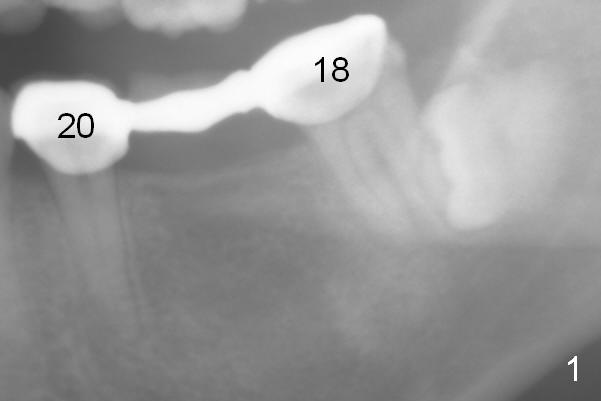
A 35-year-old lady (YL) has periodic nocturnal pain of the lower left quadrant. There is open buccal margin at the abutment of #18 (Fig.1 (from panoramus)). When the pontic and the retainer are removed (Fig.2), there is a large buccal subgingival carious lesion at the tooth #18. The latter has 2 roots, although close to each other. If the extraction turns out to be difficult, section the tooth (Fig.3 red line (no antibiotic)). To avoid contacting the tooth #17, place an implant at the mesial socket of #18 (Fig.5,7). Although it appears that the tooth #20 has no periapical radiolucency (Fig.6,7), the crown will be removed for diagnosis. A 3-unit provisional will be fabricated after an implant is placed at #19 (Fig.7,8) in the same appointment.
Return to
Lower Molar Immediate Implant,
Prevent Molar Periimplantitis (Protocols,
Table)
Xin Wei, DDS, PhD, MS 1st edition 07/07/2016, last revision 07/14/2016