![]() |
![]() |
![]() |
Trajectory Control
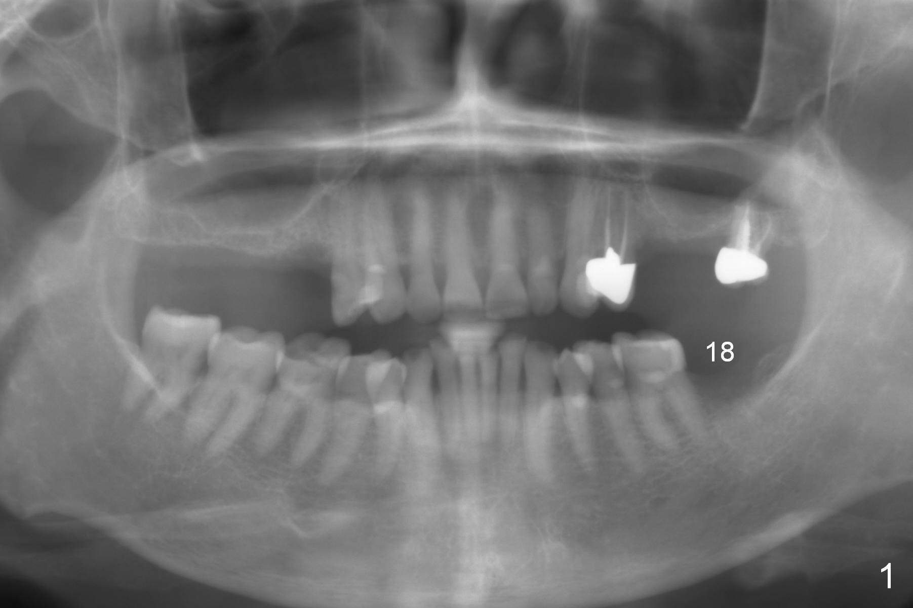
A 65-year-old woman is afraid of dentistry. After loss of the tooth #18 (Fig.1 with upper RPD), she feels necessary to have an implant (Fig.2). Since the ridge is wide (Fig.3), a flapless approach is adopted (Magic Split, measure the diameter of its handle). After 1.6 mm pilot drill (9 mm stopper) and Marking Drill (know the diameter of the large portion), use 4.8 mm Magic Drill (spacer set 2.5 mm, stopper 11 mm). Try in 5.5x9 mm dummy implant and most likely 6x9 mm definitive one.
Return to
Lower
Molar Immediate Implant,
IBS
Xin Wei, DDS, PhD, MS 1st edition 01/18/2017, last revision 08/30/2018