![]() |
![]() ![]() |
![]() |
![]() |
Bone Height Estimation
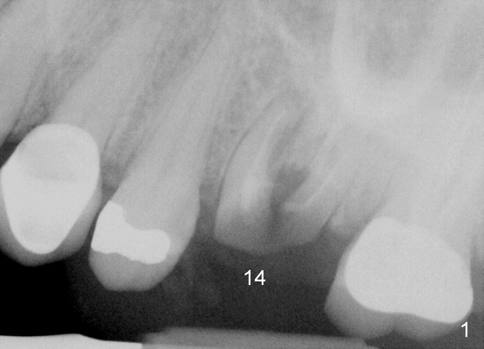
A 58-year-old white woman is afraid of dentistry (Fig1). Two years post extraction of the tooth #14, the bone height reduces by 4 mm (compare Fig.2,3).
She suddenly decides to have an implant to be placed at the site of #31, 5.5 years post extraction (Fig.5). If she does not have chance to take preop CT, the initial osteotomy depth will be 8 mm. Then take the 1st intraop PA for bone height confirmation. If the bone height is <8 mm, use Master Sinus Lift Kit and SM Extra Wide Kit. Place an implant as low as possible, since the opposing tooth must have been supraerupted.
When the patient arrives for surgery, ask her whether she has taken a sedative (sleep pill) last night. Let her read and sign implant consent prior to taking another sedative. Prepare Nitrous Oxide before hand.
Return to Lower Molar Immediate Implant
Xin Wei, DDS, PhD, MS 1st edition 06/10/2016, last revision 06/10/2016