![]() |
![]() |
![]() |
![]() |
No Drill Osteotomy Post Socket Preservation
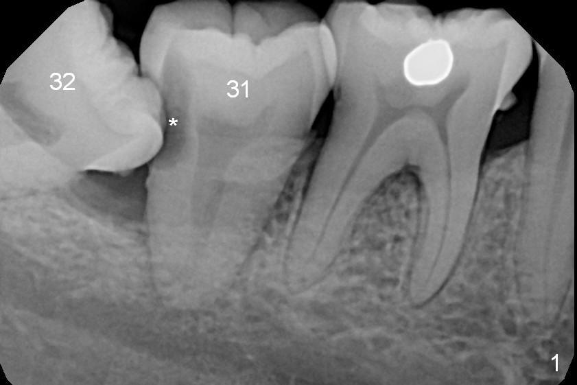
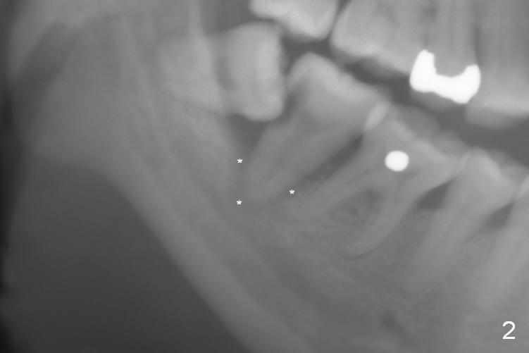
A 39-year-old woman has pain and mobility associated with the tooth #31 (Fig.1 (taken 5 months earlier), 2). It is easy to extract the mesioangularly impacted third molar (#32) after extraction of #31. After debridement and Clindamycin socket disinfection, collagen plug is placed in #32 socket, while allograft in the bottom half of the #31 one. The most coronal portion of the sockets are packed with mixture of collagen and Osteogen plugs and fixed in place with 4-0 Chromic gut (Fig.3). Two or 3 months postop, use #15 to start bone expansion at #31, followed by osteotomes or bone expanders and Tatum tapered taps. Take preop X-ray for depth measurement. The socket is close to the Inferior Alveolar Canal. In one word, no drill will be used for osteotomy. Place bone graft (Fig.4 red circles) prior to implant placement (white outline). Take CT post implant placement to confirm that the Inferior Alveolar Nerve is lingual to the implant.
Return to
Lower Molar Immediate Implant
Xin Wei, DDS, PhD, MS 1st edition 04/17/2016, last revision 03/31/2020