![]() |
![]() |
![]() |
![]() |
![]() |
![]() |
![]() |
![]() |
![]() |
![]() ![]() |
Dislodged Crown
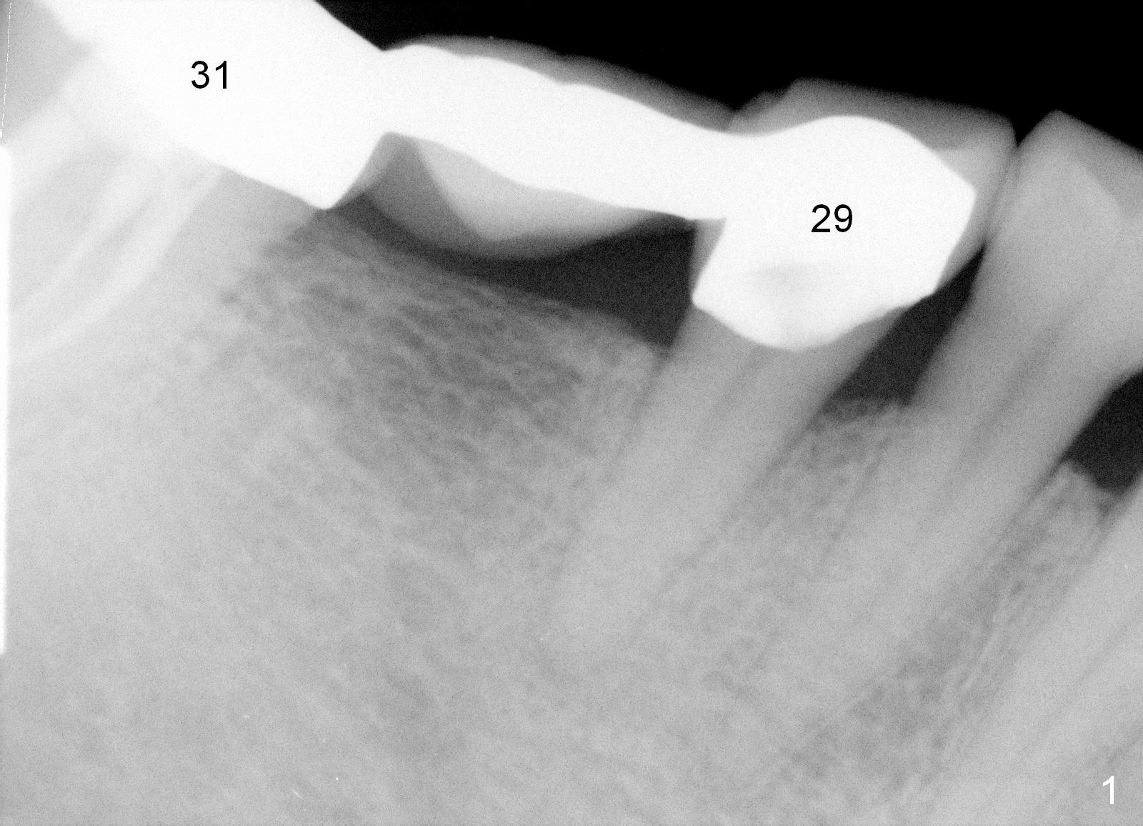
A 47-year-old man has history of bruxism, chipping porcelain from #29-31 FPD (Fig.1). Following sectioning the FPD, osteotomy is created (Fig.2: 5x14 mm drill) for placement of a 5x14 mm tissue-level implant (Fig.3,4). A 4x3 mm abutment (Fig.5 (lingual view) A) with 3 vertical slots (* for increased retention) is placed to retain periodontal dressing. The crown over the implant has dislodged 3 times over 28 months post cementation (Fig.6). It appears that the top of the abutment is too rounded. Clinical exam shows that the abutment height can be more, although the tooth #3 is supraerupted (Fig.7 (orthodontic intrusion is not indicated because of furca infection)).
Therefore a larger and longer abutment should be used (4.5x5 mm 0°). First of all, install Isolite. Remove cement from the access hole of the unipost with Cavitron. The cement was used to cement the crown. Use Tatum driver to remove the abutment. If it does not work, make a slot on the top of the abutment and use a regular screw driver to unscrew the abutment. Second, apply Cetacaine and perform laser gingivectomy to expose the implant margin. Temporary crown should be made to keep the margin and the space just created around the implant. Third try in the new abutment. Fourth reduce the abutment height carefully and make slopes corresponding the cusps of the opposing tooth. Reduce the opposing tooth if necessary. Last, consider Ketac cementation. Use resin bonding (with syringe tip) when an angled abutment is used. The bonding has higher retention than Ketac.
Pre-impression photos show supraerupted #3 (Fig.7). Clearance is a little more than 1 mm between the mesiopalatal cusp of #3 (Fig.7 *) and the rounded abutment (Fig.8). Removal of the abutment turns out to be easy. Reduction is confined to the opposing tooth (slopes of the cusps). No occlusal reduction is done for the new abutment as mentioned above except for 2 retention grooves. One-mm reduction ring barely passes the occlusal clearance (Fig.9). No cement is applied to the abutment in case a longer abutment may be required. Bone density seems to remain the same or increase after cementation of a new crown (Fig.7). The redo crown remains in place 1 year post cementation.
Return to
Lower
Molar Immediate Implant
Xin Wei, DDS, PhD, MS 1st edition 01/27/2017, last revision 05/03/2019