![]() |
![]() |
![]() |
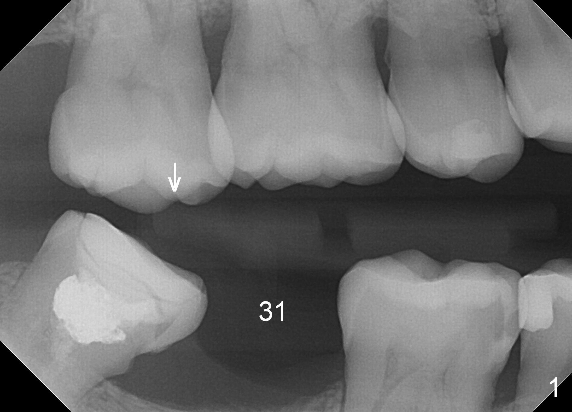
Narrow Mesiodistal Space M
A 39-year-old man presents to office for #19/20 composite redo. After discussion he agrees to restore #31 with implant (Fig.1-3). He worries about bone loss (buccolingually) because of 8-year loss of the tooth. Fortunately the mesiodistal space is less than 8 mm (Fig.3). A 4 mm IBS implant (Titanium V (Bicon as well) stronger (not easily break) than Titatium IV (Tatum, DIO)) should be able to sustain mastication if the tooth #32 is not extracted. After local anesthesia, remove calculus in the mesial surface of #32 (Fig.2 ^). Also prepare for MO composite at #30.
Return to
Lower
Molar Immediate Implant
Xin Wei, DDS, PhD, MS 1st edition 01/04/2017, last revision 01/01/2020