![]() |
![]() |
![]() |
![]() |
![]() |
![]() |
![]() |
![]() |
![]() |
Lower 3rd Molar Immediate Implant as Ortho Anchorage
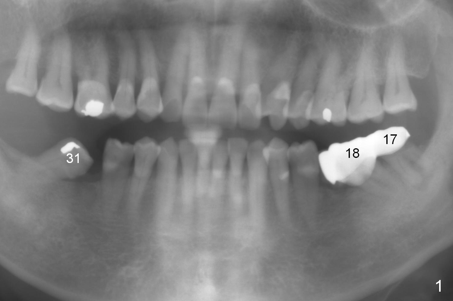
A 82-year-old man has pain in the lower left bridge. There is a buccal apical fistula associated with the tooth #17 (Fig.1). An immediate implant will be placed at #17 after bridge removal (Fig.2,3 blue). Once it osteointegrates, it will be used an anchorage (direct (instead of indirect), most efficient) to upright the tooth #18 (change the longitudinal axis from red line to purple one (Fig.4); white circle: center of resistance (rotation)). Then an implant will be placed at #19 (white rectangle).
Take Alginate impression and keep it moist. It will be used as a stent for temporization later on. After the tooth #17 is extracted with Clindamycin treatment, a FC dummy implant (5x9 mm) will be placed, followed by 6x4(2) mm abutment (Fig.3,4 pink). If there is severe vertical height issue, change to Magicore. Due to schedule conflict, prepare UF for this case instead.
One of the patient's daughter feels that the treatment is too complicated. She would like to have the 2nd molars extracted and implants at the 1st and 2nd molar sites (from Fig.5,6 to 7-9). Since the upper canines are missing (Fig.5,6), the final occlusion will be Class II posteriorly (Fig.8,9).
Return to
Lower
Molar Immediate Implant, Prevent
Molar Periimplantitis (Protocols,
Table),
IBS
Xin Wei, DDS, PhD, MS 1st edition 11/15/2016, last revision 12/05/2016