![]() |
![]() |
||||
![]() |
![]() |
![]() |
|||
![]() |
![]() |
![]() |
|||
Restoration after Bridge Removal
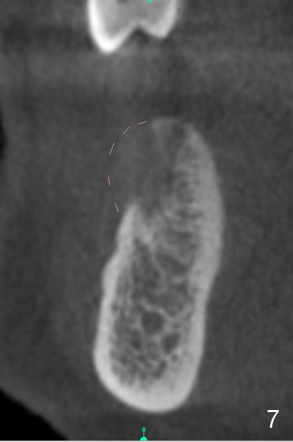
Chief complaint of a 69-year-old lady is "I cannot eat after bottom right bridge removal" (Fig.1). Exam reveals that the tooth #15 is also missing (Fig.2). Four implants are planned. CBCT shows low density of #31 socket (Fig.3,4, bone expanders) and the buccal coronal portion of the #29 socket (Fig.3,6,7, place implant as lingual as possible). The alveolus at the site of #30 is atrophic coronally (Fig.5). If insertion torque of individual implants is reasonably high, an immediate provisional bridge will be fabricated.
Before this project is initiated, the tooth #18 causes pain.
Return to Lower Molar Immediate Implant,
Dr. Wu
Xin Wei, DDS, PhD, MS 1st edition 04/12/2015, last revision 01/19/2018