![]() |
![]() |
![]() |
![]() |
![]() |
|
Possibly Redo Immediate Implant Next to Infection
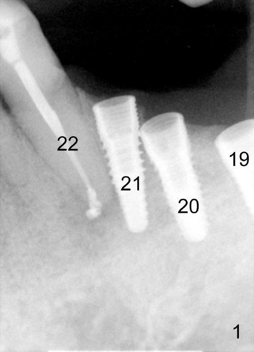
Three weeks post RCT for #22, the patient returns for implant placement at the sites of #19-21 (Fig.1,2). He is asymptomatic. But pain is not well controlled when osteotomy is being done at the site of 21. A shorter and smaller implant (4.1x12 mm, insertion torque <15 Ncm) is placed than planned (4.5x14 mm). One month postop, the implant is not stable at the site of 21 (Fig.3-5). There is a space around the implant, which is continuous with periapical radiolucency (Fig.3 arrowheads). It appears that the immediate implant should have been placed longer following RCT of the neighboring tooth. The tooth #21 has also pre-existing periapical infection.
The patient is scheduled to return 2 months postop. If there is no percussion associated with #22 and the implant at #21 remains unstable, a new PA is to be taken. The implant may be torqued down. If it does not work, the implant is removed. The socket is examined for its integrity. Deepen osteotomy for 1-2 mm and re-place the same implant. If insertion torque is low, use a larger and longer implant.
If the implants at the site of #19 and 20 remain stable (4.5x12, 5x10 mm, respectively), place cemented abutments and fabricate provisionals.
Return to Lower Full Mouth
Reconstruction
Xin Wei, DDS, PhD, MS 1st edition 12/07/2014, last revision 12/09/2014