![]() |
![]() |
![]() |
|
![]() |
![]() |
![]() |
![]() |
![]() |
![]() |
![]() |
|
Reconstruct Upper Arch
First molar occlusion is planned (1,2). The tooth #3 was extracted a year ago (Fig.1 (CT sagittal section). There is more bone loss distally so that bone graft (red circles) is required post implantation (5.3x14 mm). Buccolingual width is not severely compromised (Fig.2 (coronal section), 3).
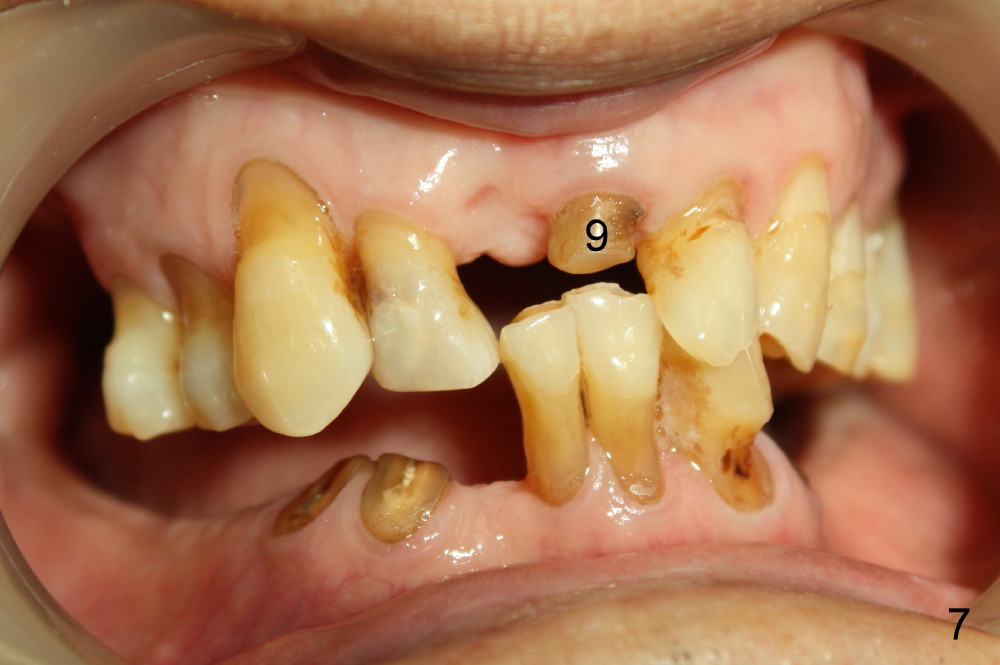
Buccal atrophy at the site of #8 dictates a smaller implant than that of #9 (Fig.4-7).
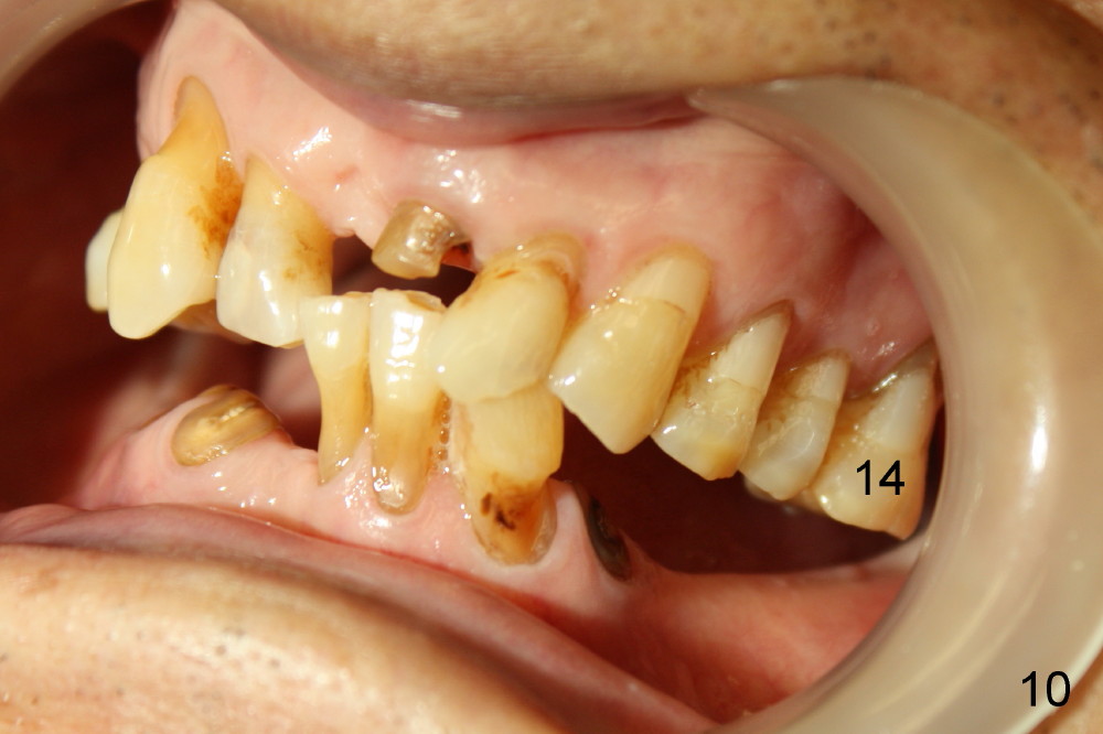
The tooth #14 is periodontally compromised with supraeruption (Fig.8-10). After immediate implant, bone graft (red circles) is needed distally (Fig.8) and palatally (Fig.9).
Return to Lower Arch Reconstruction
Xin Wei, DDS, PhD, MS 1st edition 09/21/2014, last revision 09/22/2014