![]() |
![]() |
![]() |
![]() |
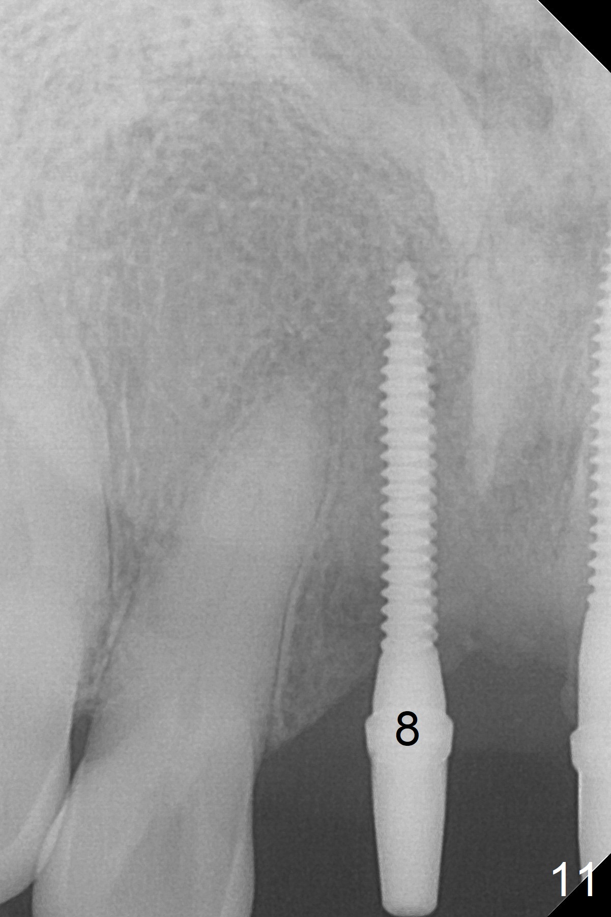
Change in trajectory at #8 seems acceptable (Fig.3 (arrowheads: upper midline suture)). But it relapses when a 2x14(2) mm implant is placed (Fig.4 (2x14(4) mm at #9)). It appears that a drastic change in trajectory is necessary (Fig.5). In fact it is difficult to change the trajectory with the flexible 1.2 mm drill. Lindamann bur can be used for this purpose initially (coronally). The osteotomy should be moved mesially prior to reuse of the 1.2 mm drill for depth (Fig.10) and re-placement of the 2x14(2) mm implant (Fig.11).
Change in Osteotomy Position Last Next
Xin Wei, DDS, PhD, MS 1st edition 07/21/2017, last revision 08/05/2018