![]() |
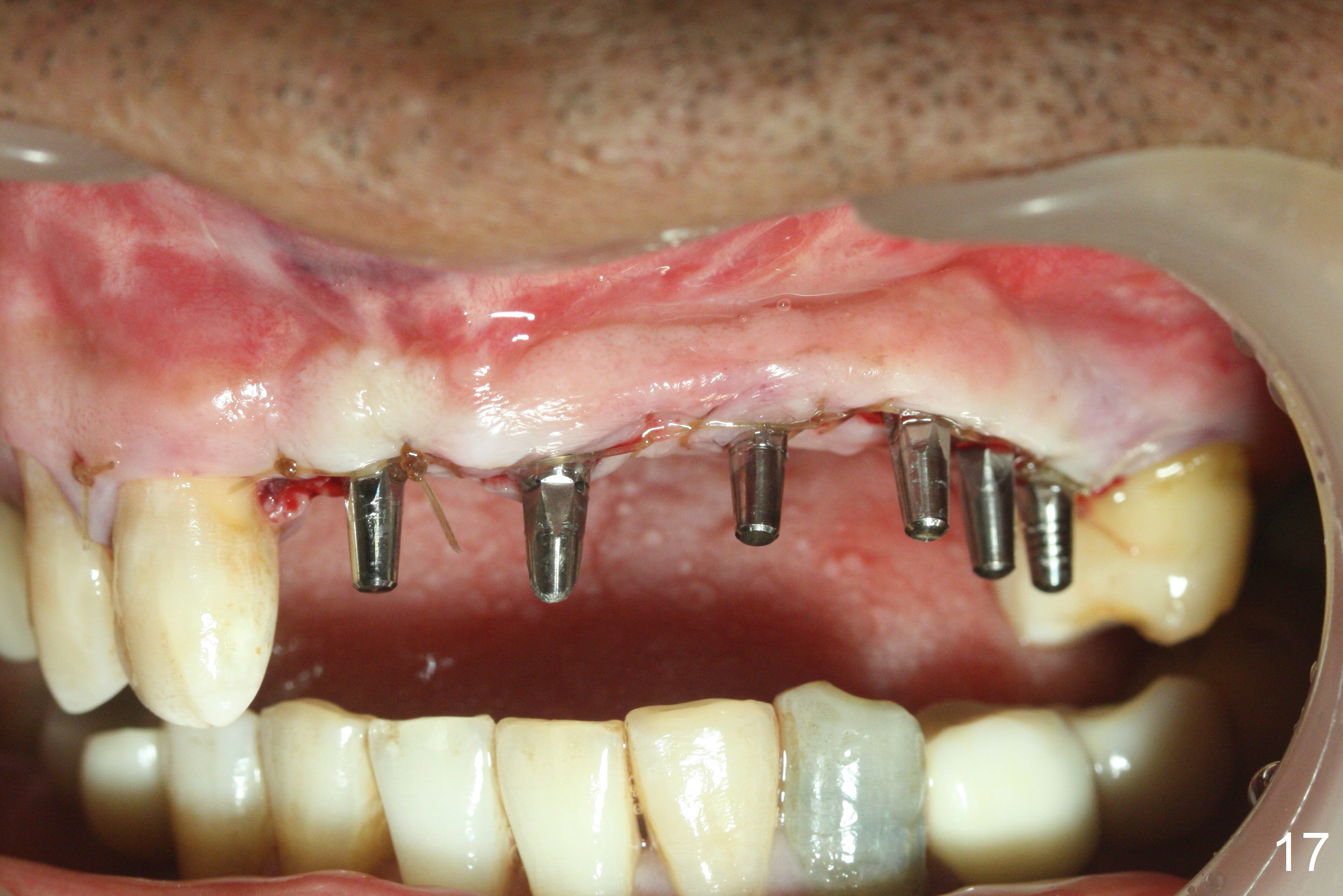
Following allograft placement around the implants (particularly palatally and in void due to change in osteotomy position) and PRF membrane buccopalatally, the ridge looks wider (Fig.17, 18) than preop (Fig.1). Note scar tissue in the upper labial vestibule (history of trauma). Continuous mattress suturing provides good wound closure.
Change in Osteotomy Position Last Next
Xin Wei, DDS, PhD, MS 1st edition 07/21/2017, last revision 08/05/2018