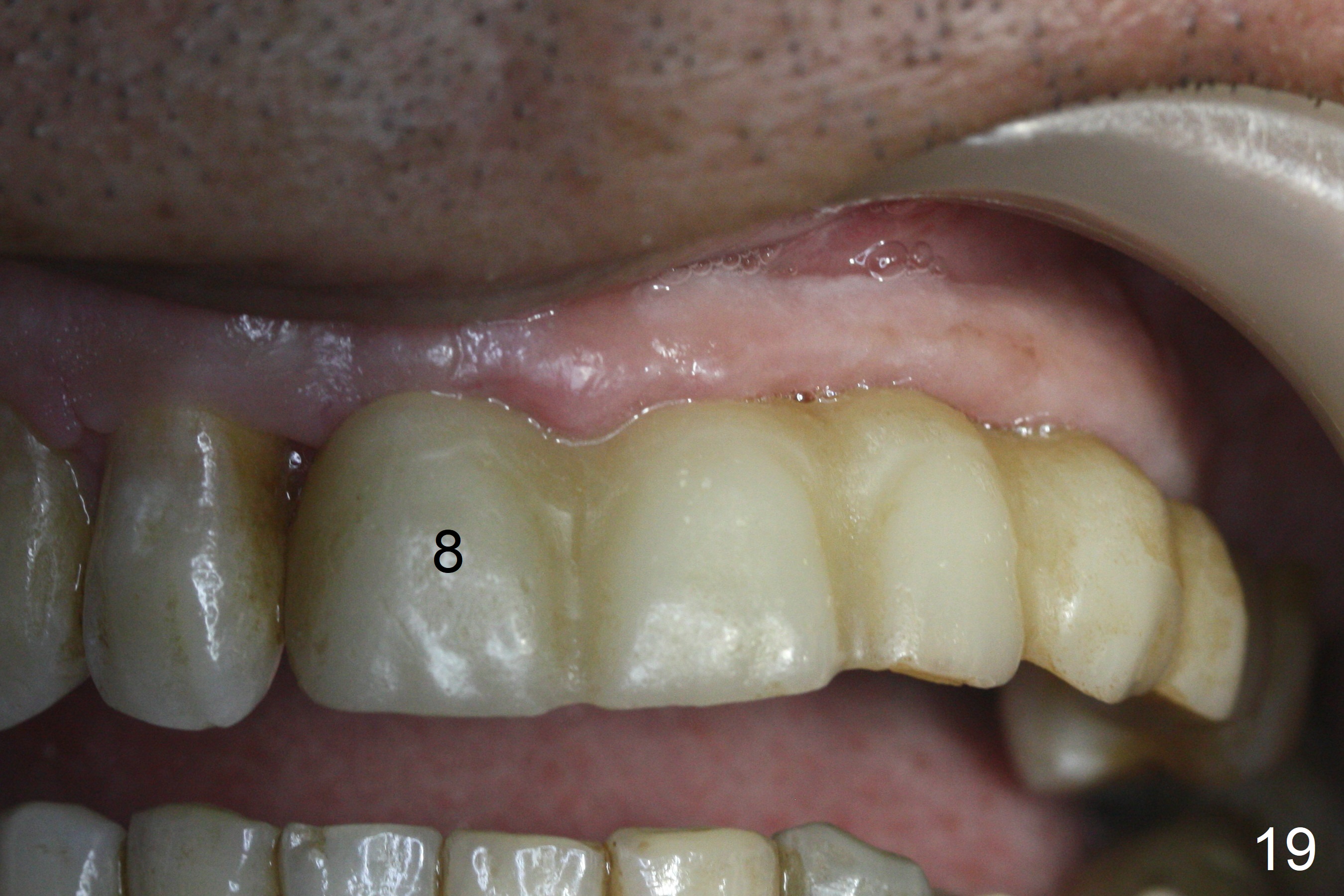
The soft tissue heals 2 weeks postop (Fig.19).

Change in Osteotomy Position Last Next

Xin Wei, DDS, PhD, MS 1st edition 08/071/2017, last revision 08/05/2018