![]() |
![]() |
|
![]() |
![]() |
![]() |
Large Bony and Soft Tissue Defects
Lack of bony support and soft tissue coverage appear to be an obstacle to immediate implant. Two cases are presented. The first one is my first attempted immediate implant patient (Fig.1-3), a 54-year-old lady. She is extremely apprehensive. The upper right first molar has severe perio-endo disease. There is no bone around the buccal roots (MB, DB in Fig.1). The tooth is non salvageable and is treated the best with an immediate implant. When the tooth is extracted, the large buccal gingival defects (Fig.2 MB, DB) and sinus perforation (Fig.3) through the palatal socket (Fig.2 *) are apparent contraindications to immediate implant. Amazingly, the gingiva heals rapidly post extraction. An implant is placed 1 month later.
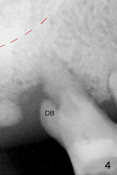
One year later, a 68-year-old lady requests treatment for the same tooth with almost identical conditions (Fig.4-6). Immediate implant is placed with immediate outcome. The difference between these cases is experience and practice.
Introduction to Immediate Implant
Xin Wei, DDS, PhD, MS 1st edition 12/29/2013, last revision 12/29/2013