![]() |
![]() |
![]() |
![]() |
![]() |
![]() |
|
![]() |
![]() |
![]() |
![]() |
![]() |
||
![]() |
![]() |
![]() |
||||
Implant Failure Probably Due to Postop Infection
The tooth #4 was removed from a 41-year-old man (Fig.1). Fig.2 was taken 1 year and 7 months post extraction. Osteotomes (Fig.3,4) were used to create osteotomy (7 yr 9 m post ext). A 4x14 mm implant was placed below the sinus floor with insertion torque > 60 Ncm (Fig.5). The surgery was flapless (Fig.6). No antibiotic was taken pre- and post-op. The implant was found to be tender and loose. It was removed without bone graft.
Nine months later, the patient returned for re-implantation (Fig.7). Amoxicillin and Chlorhexidine were used preop and postop. Flaps were raised for better vision of reimplantation site (Fig.8). Bone density was high (type II). Drills were used to form osteotomy (Fig.9). A 4x17 mm implant was placed with internal sinus lift (Fig.10*). The insertion torque was also >60 Ncm. The flaps were approximated and a short abutment (Fig.11 A) was placed to hold perio dressing in place.
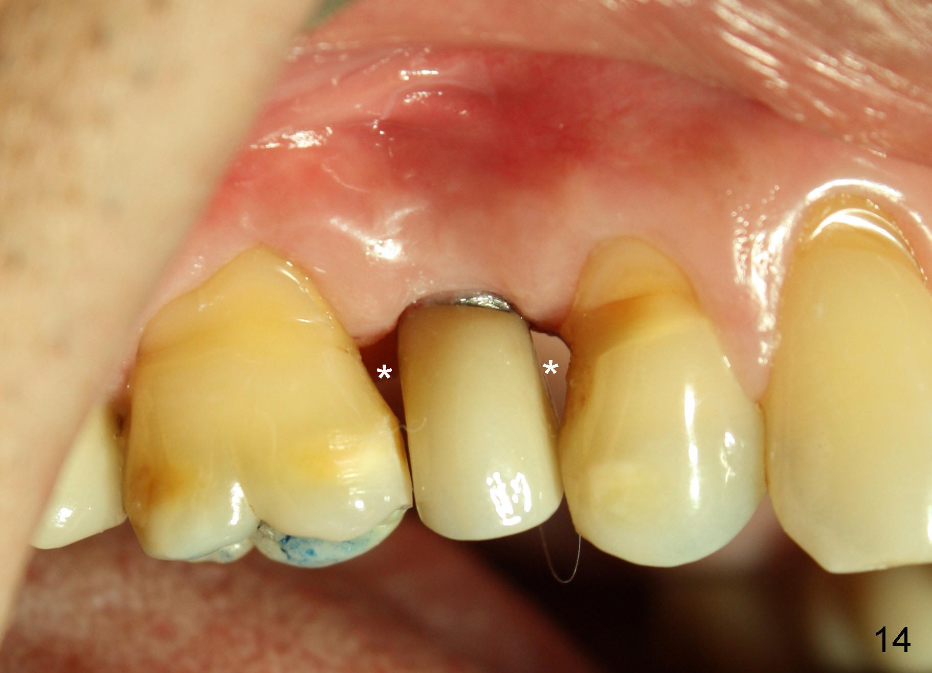
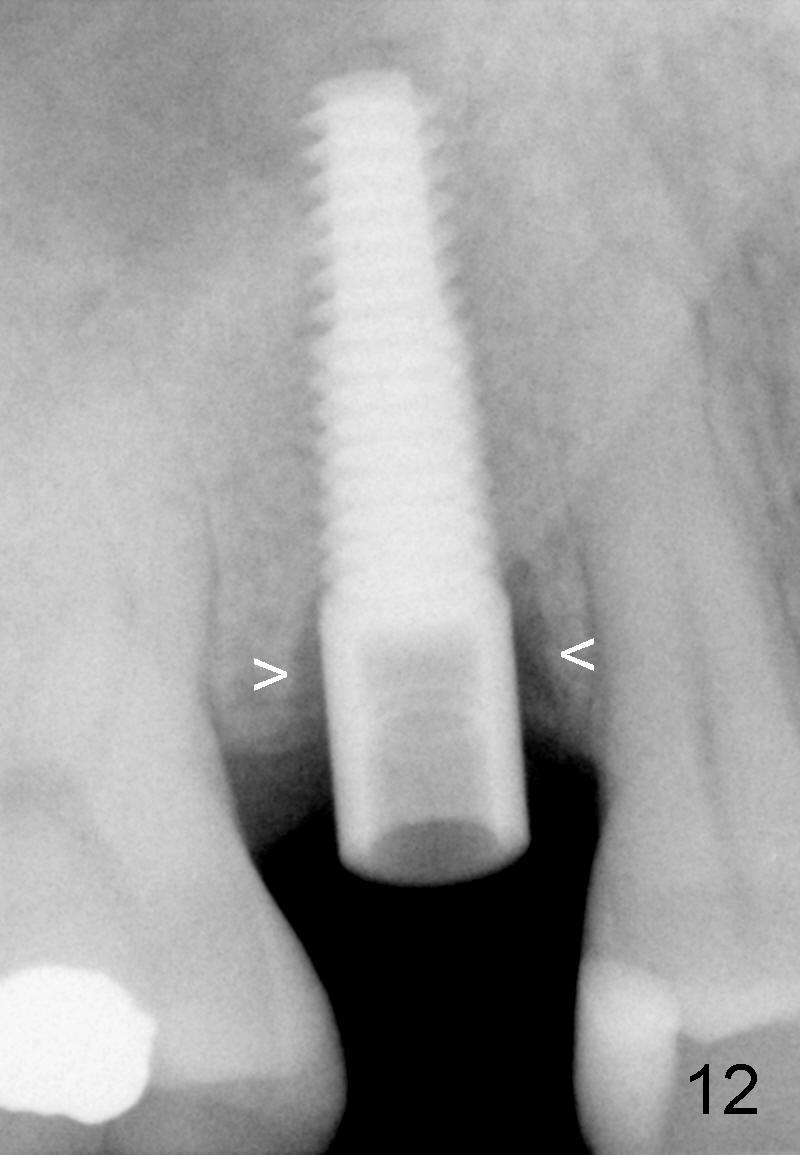
X-ray at 2.5 months postop shows crestal bone loss (Fig.12 *), although the implant is stable without inflammation (Fig.13 C: healing cuff). When the crown is bonded 3.5 months postop, there is no papilla (Fig.14 *).
Xin Wei, DDS, PhD, MS 1st edition 07/16/2014, last revision 11/05/2014