上中切牙根管治疗CT随访

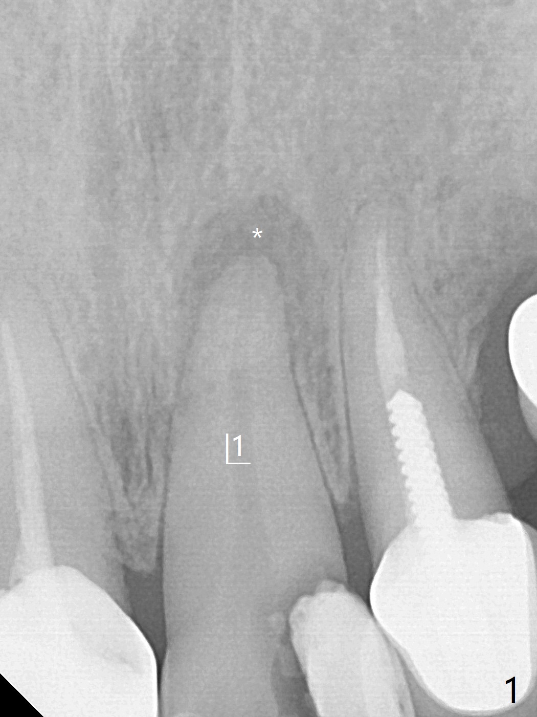
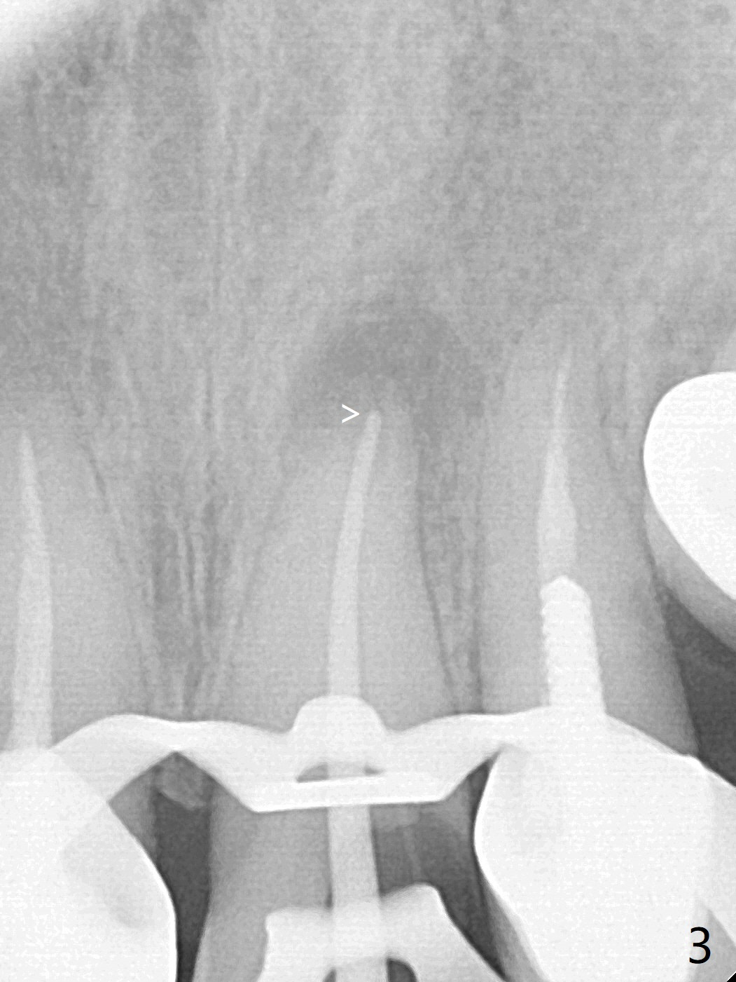
62岁女因牙痛(图一)做根管治疗(图二,三)。一年10个月后因11,13,30,31 植牙,拍摄CT,根尖阴影明显缩小(图四,五)。颊侧骨板薄而短(图四:>),牙槽骨也狭窄,如果需要植牙,比较困难。

Return to No Caries Professionals
Xin Wei, DDS, PhD, MS 1st edition 11/19/2020, last revision 07/06/2021