Apical Perforation

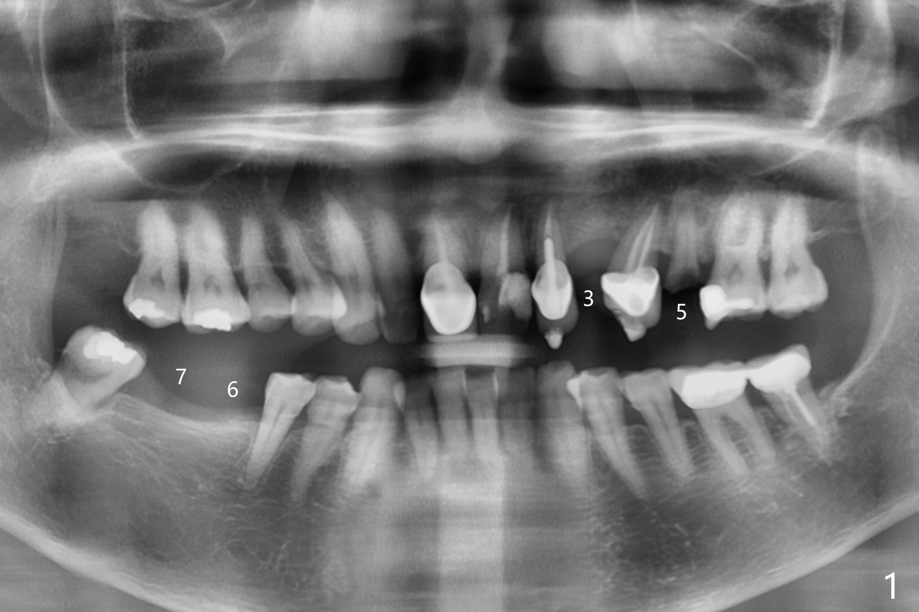
63岁女需要四个植牙(图一:左上3,5,右下6,7),由于3牙槽嵴狭窄,选择导板种植。5根尖阴影,颊侧骨板穿孔(图二:箭头)。即种时如何修复?骨粉,植体,哪个先放

Return to No Caries 手术  种植杂谈
Xin Wei, DDS, PhD, MS 1st edition 10/12/2020, last revision 07/27/2021