![]() |
![]() |
![]() |
![]() |
![]() |
|
![]() |
![]() |
![]() |
![]() |
||
![]() |
![]() |
![]() |
|||
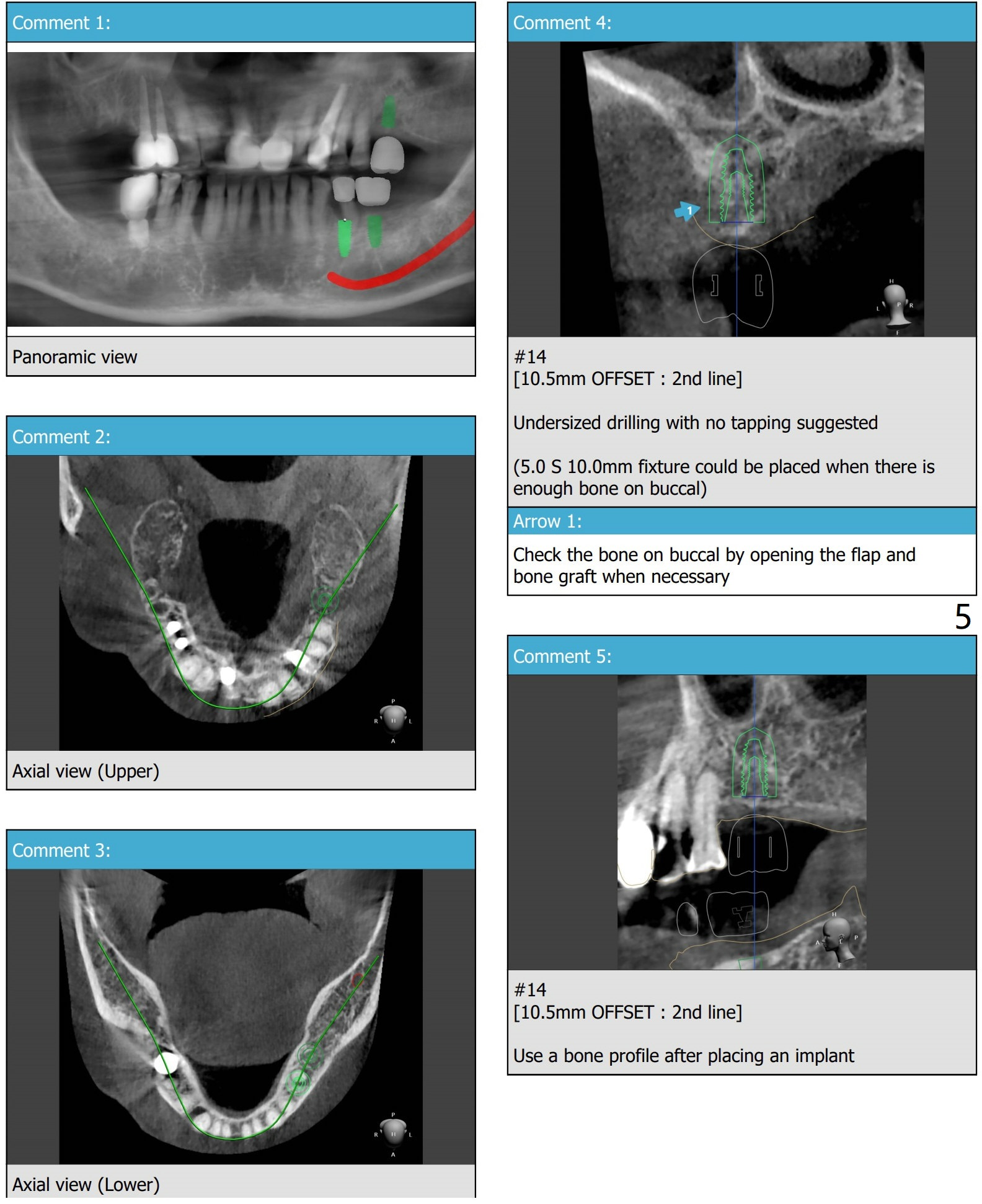
#14 Indistinct Buccal Plate
A 80-year-old man requests implants to replace his missing teeth. #14 incision for bone graft. PRFx2. Tatum 14 mm for #14 and 19, 14 or 17 mm for 20. Prepare taps.
Return to
No
Caries
No Antibiotic
Xin Wei,
DDS, PhD, MS 1st edition 04/07/2021, last revision
04/12/2021