![]() |
![]() |
![]() |
![]() |
Design Modification
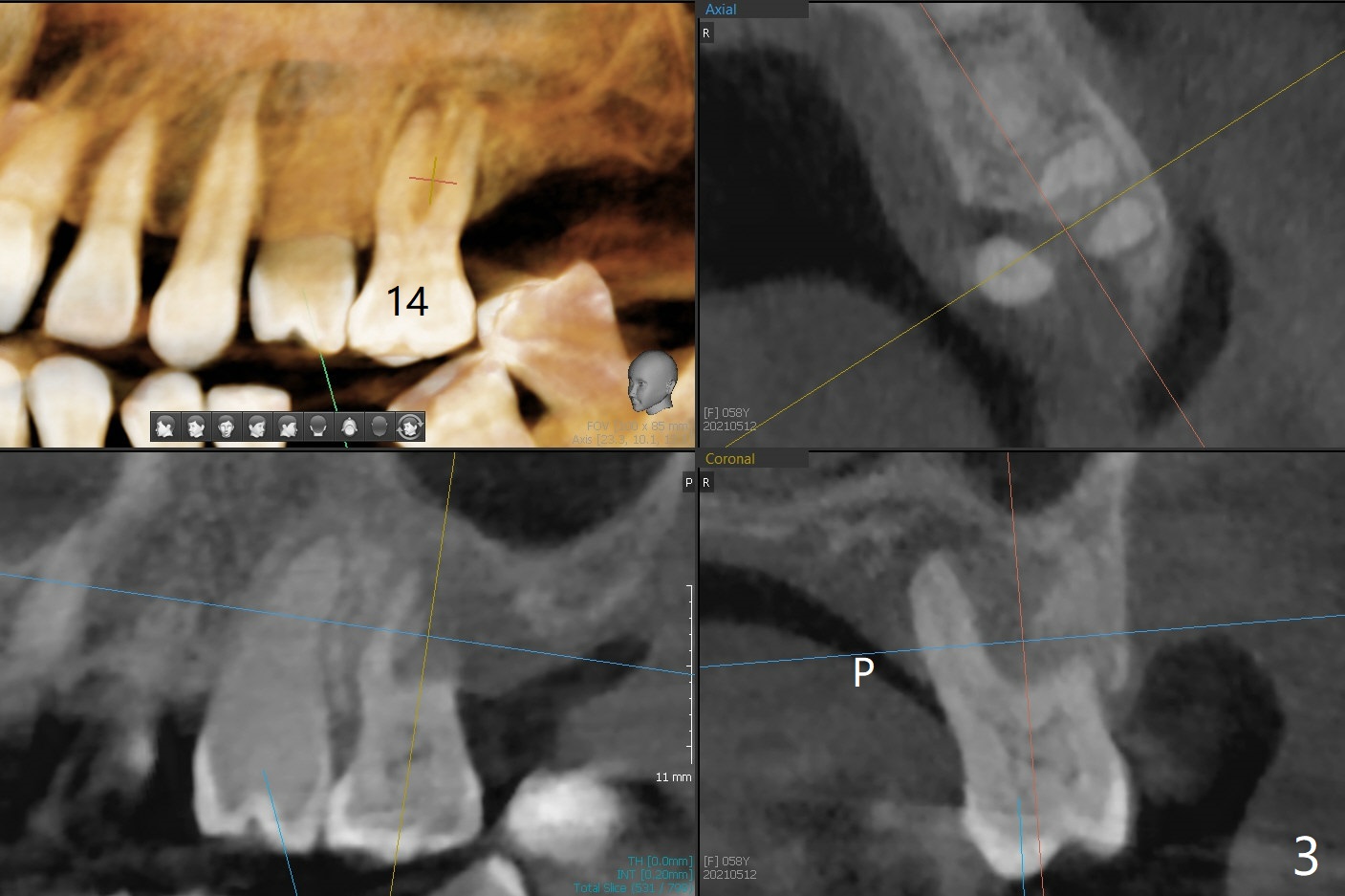
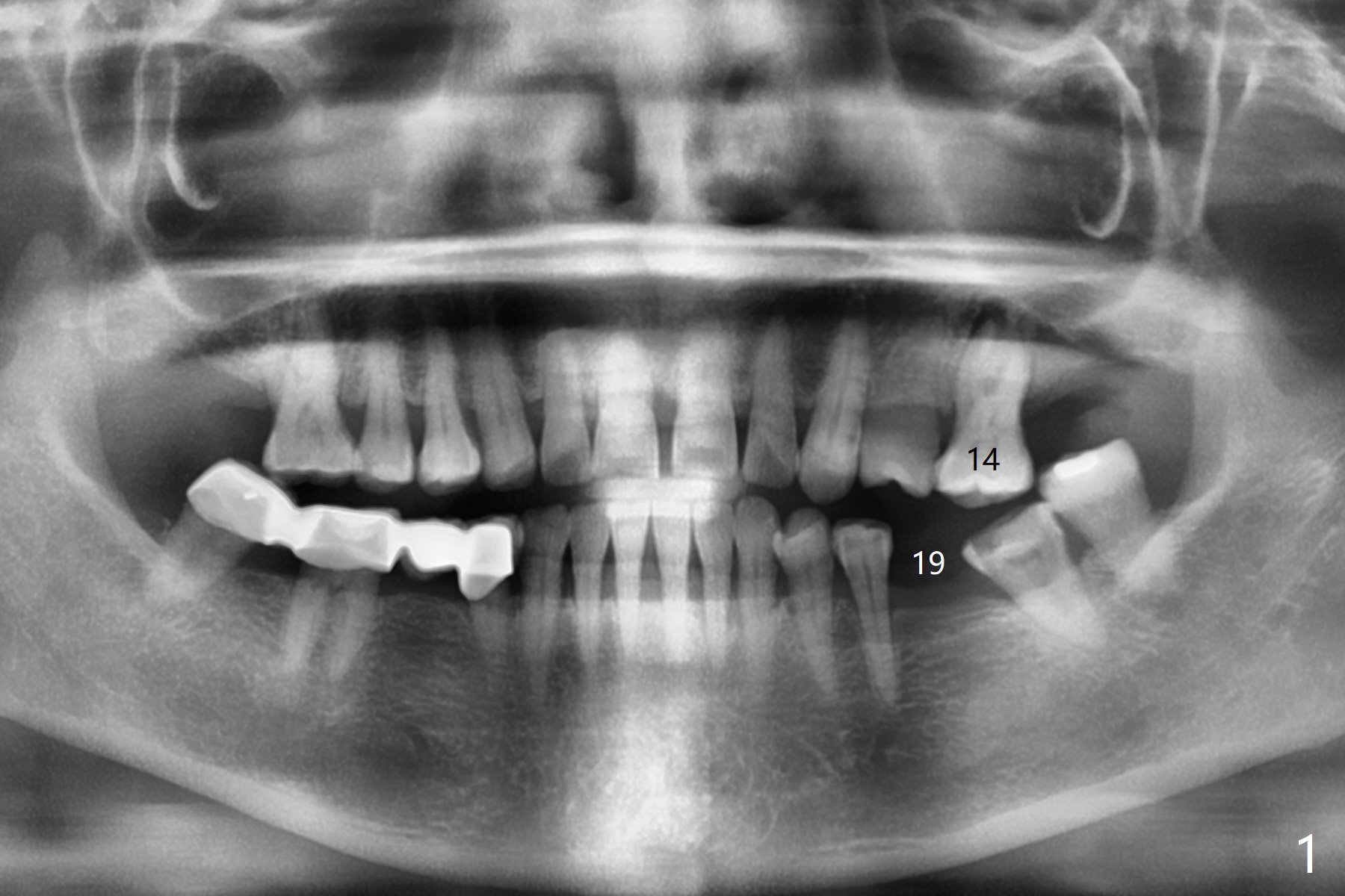
A 58-year-old woman with several restoration agrees to have implants at #15 and 19 (Fig.1). Since #18 tilts mesially, which needs to be trimmed, place #19 implant slightly distal, ~ .5 mm (Fig.2). As the infection at #14 is extensive (Fig.3), place #15 implant (probably 5x7.3 mm) distal, while tilts the long axis of the implant mesially (Fig.4 arrow). Also move the implant palatal with larger diameter and shortened length. Forget about the implant #15 if it is difficult or impossible to change.
Return to
Protect
Graft
Xin Wei,
DDS, PhD, MS 1st edition
05/12/2021, last revision
06/20/2021