![]() |
![]() |
![]() |
![]() |
![]() |
![]() |
![]() |
![]() |
![]() |
综合治疗
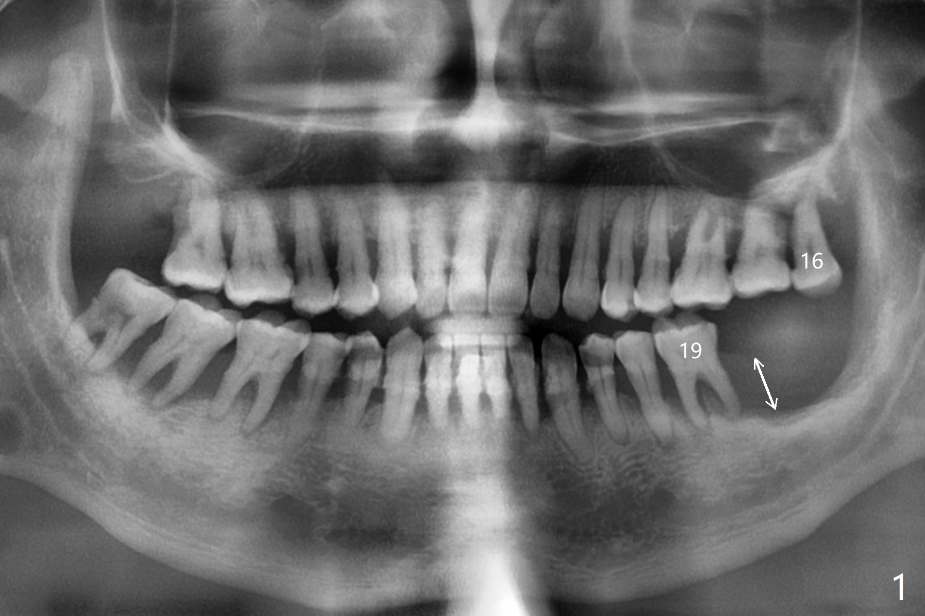
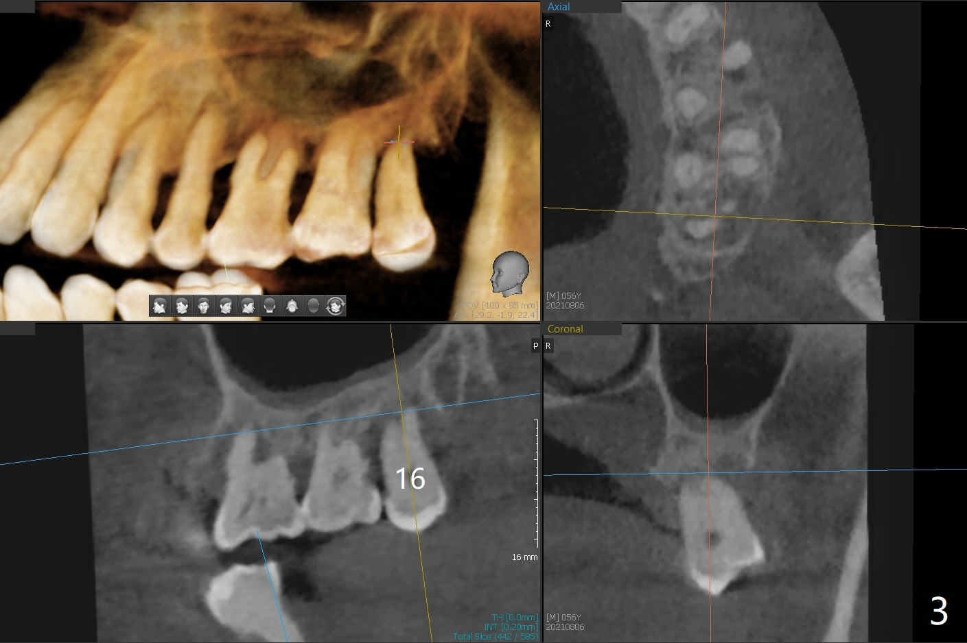
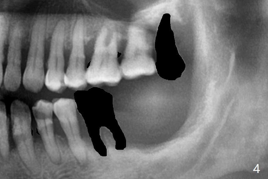
56岁男几十年拒绝牙周炎治疗,也不愿意拔除所有牙齿做全口植牙修复。17,18号牙自行脱落,现在要求拔除16,19;18,19种植(图一),后者牙龈厚(双箭头),但是18号牙骨质高度不足(图二),勉强植入5x7.3毫米植体。15,16骨质吸收严重(图三),16,19拔除,局部深洗后(图四:黑色),为了延长15号牙使用期,16号牙牙槽窝植骨(图五:红色)。19号牙种植徒手,因为邻牙(包括20,21号牙))松动,做导板不准确,钻洞使用环形钻头(图六),保留骨塞(bone plug),用于18号牙骨质高度骨块移植。19号牙拔除后,往远中18牙位做潜行分离(图七:黑色)。19种植(绿色),基台(粉红色),骨粉(圆圈),临时牙冠(白色),16号牙粘性骨粉植骨(红色),PRF,Cytoplast覆盖(白线),缝合。从19号牙钻洞取来的骨塞,塞入18号牙潜行分离处(图八);利用临时牙冠和22号牙以及钢丝,树脂固定20,21号牙(蓝色),并且降低咬合(*)。最后,用螺钉固定骨塞(图九:深蓝色)。
Return to Prevent Molar
Periimplantitis (Protocols,
Table)
Protect
Graft
Clindamycin
下齿槽神经
Xin Wei,
DDS, PhD, MS 1st edition 08/06/2021, last revision
08/08/2021