![]() |
![]() |
![]() |
![]() |
![]() |
![]() |
||
Sinus Perforation Most Likely Associated with Extraction
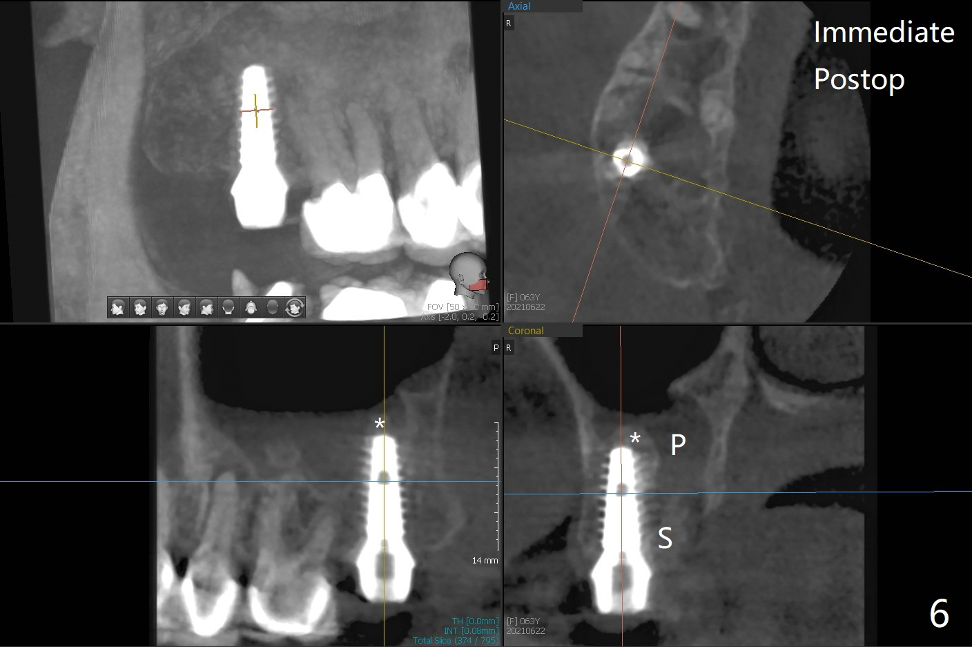
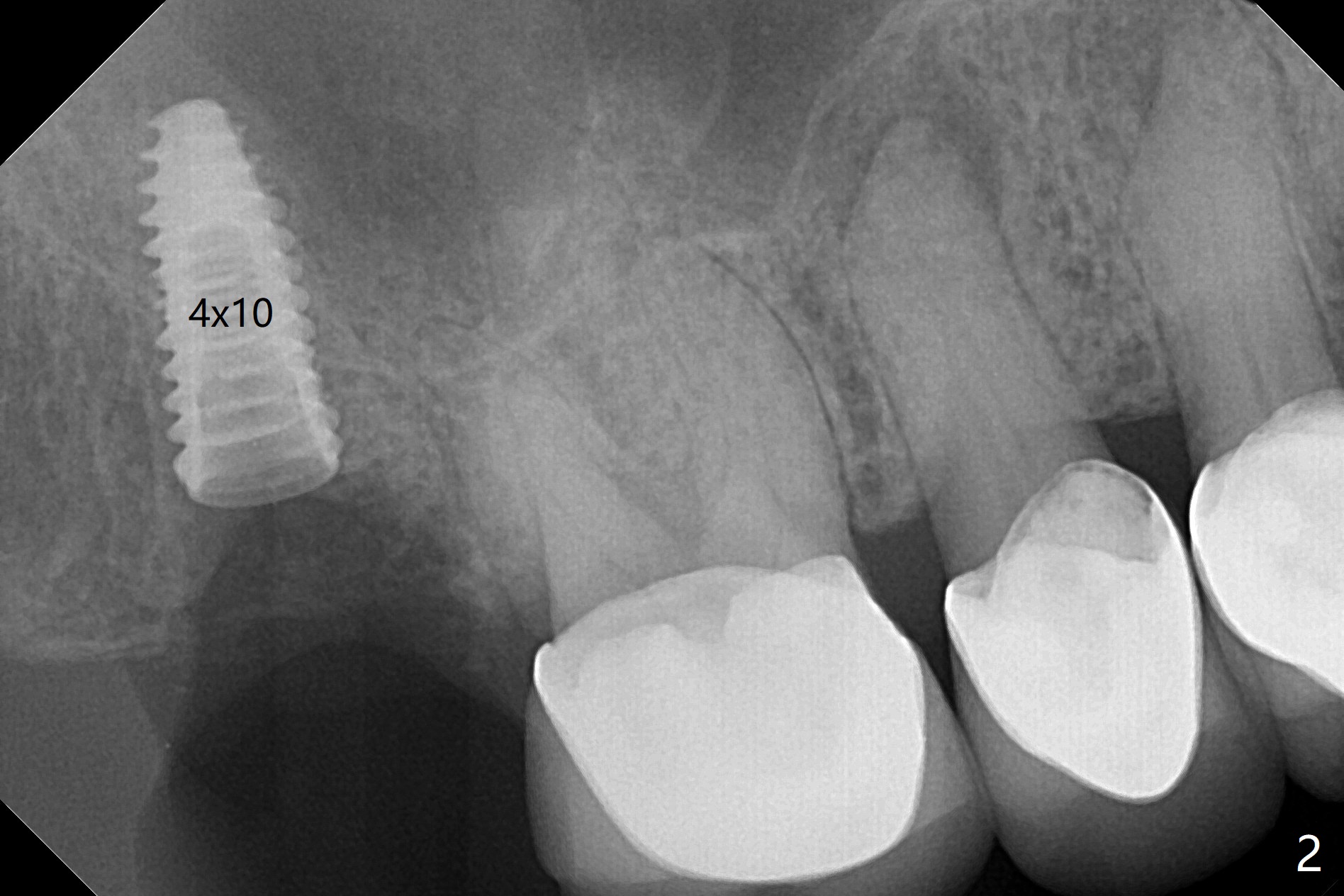
When the tooth #2 is extracted, there is sinus perforation in the palatal apex, consistent with preop CT (Fig.1: P). There is no bone shaving associated with drill sequence in the buccal socket (until 3.5x8.5 mm). With sticky bone and 4.5x10 mm IS dummy implant, sinus lift does not happen. Sinus floor perforation is felt when a 2.2x10 mm drill is used slowly. But air leaks from the palatal socket. With bone graft, a 4x10 mm dummy implant lifts the sinus (Fig.2). After further graft and 4.5x10 mm dummy implant, a 5x11 mm final implant is placed with 15 Ncm with sinus lift (Fig.3,4 *). Following abutment insertion, sticky bone is packed around the implant and abutment (Fig.5,6 S). Prior to final implant placement, a small piece of PRF and collagen and Osteogen Plugs are placed in the palatal socket for repair. Before discharge, there is mild nasal hemorrhage.
Return to
Prevent Molar Periimplantitis (Protocols,
Table)
Protect
Graft
Torque
Xin Wei,
DDS, PhD, MS 1st edition 06/21/2021, last revision
06/22/2021