![]() |
![]() |
![]() |
![]() |
![]() |
![]() |
复杂种植:残根,牙周炎,咬合创伤
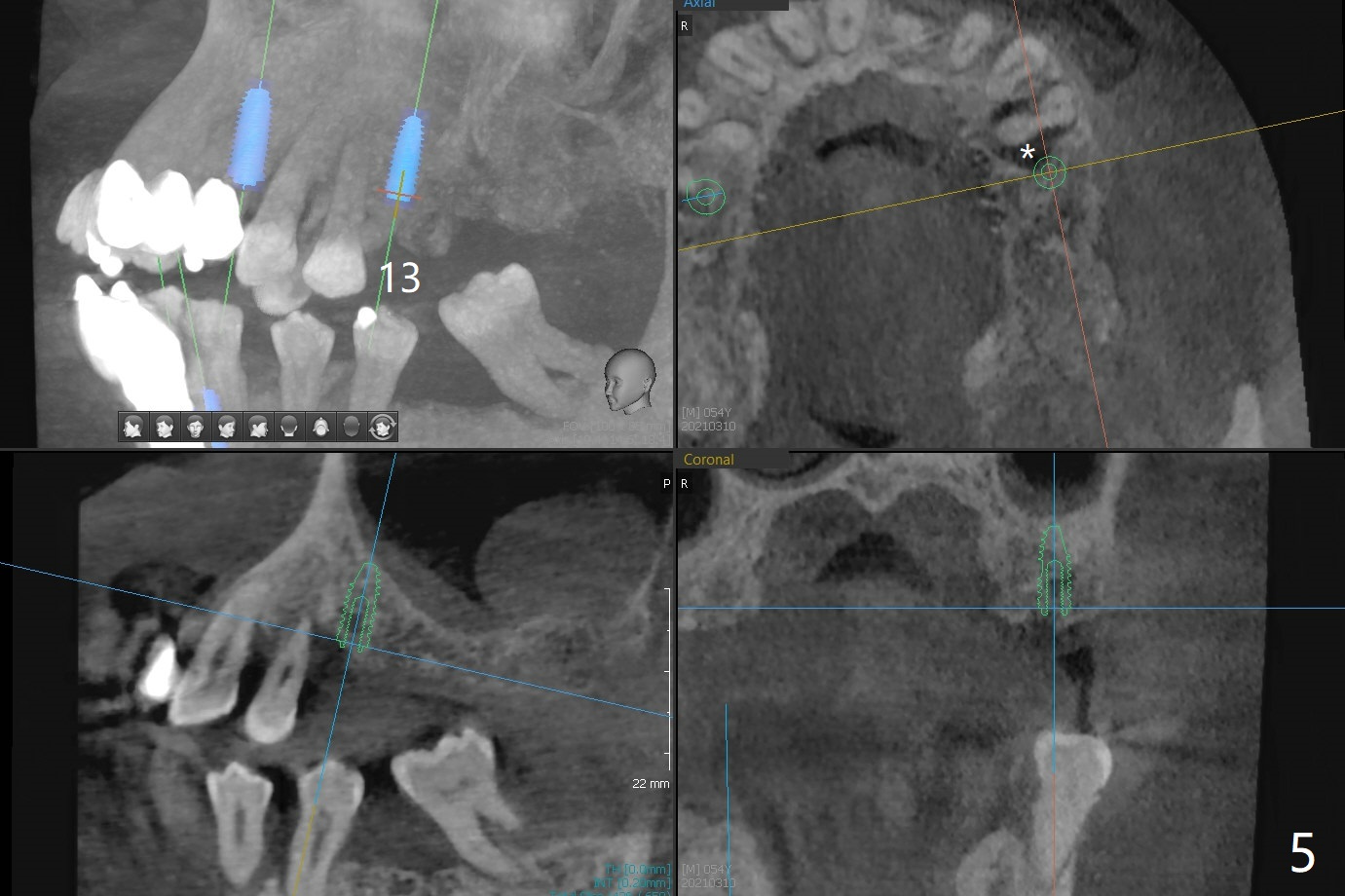
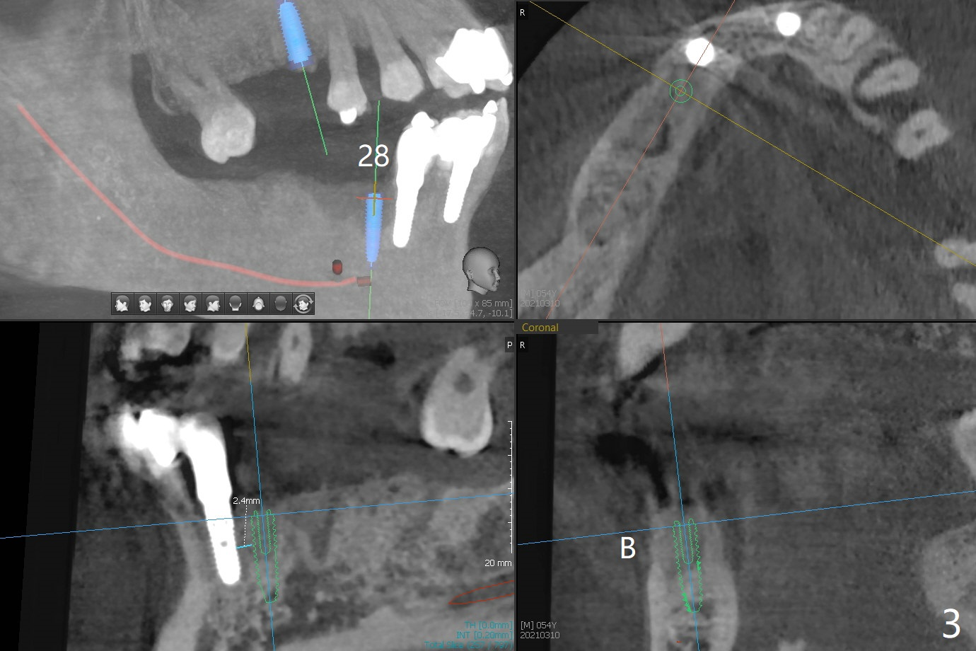
54岁男,28,29植骨后5个月,回来要求3,13,28,29种植(图一)。3号牙需要切开除去残根(图二:*),然后导板种植,准备两个PRF膜。为了保证植牙间距离,尝试在28,29处植入3.5x13毫米植体(图三,四)。在13号牙种植时(图五),考虑12号牙腭侧植骨(图六)。为了减少对12号牙咬合创伤,考虑4个植牙即刻修复。
Return to
No Deviation
No
Caries
Torque
Xin Wei,
DDS, PhD, MS 1st edition 03/21/2021, last revision
03/25/2021