![]() |
![]() |
![]() |
![]() |
![]() |
![]() |
Implants in Stage
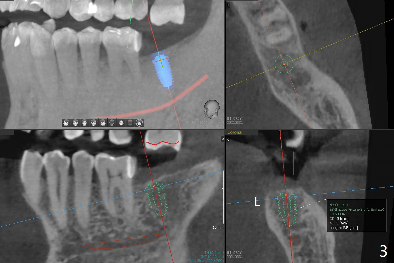
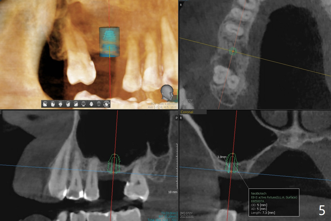
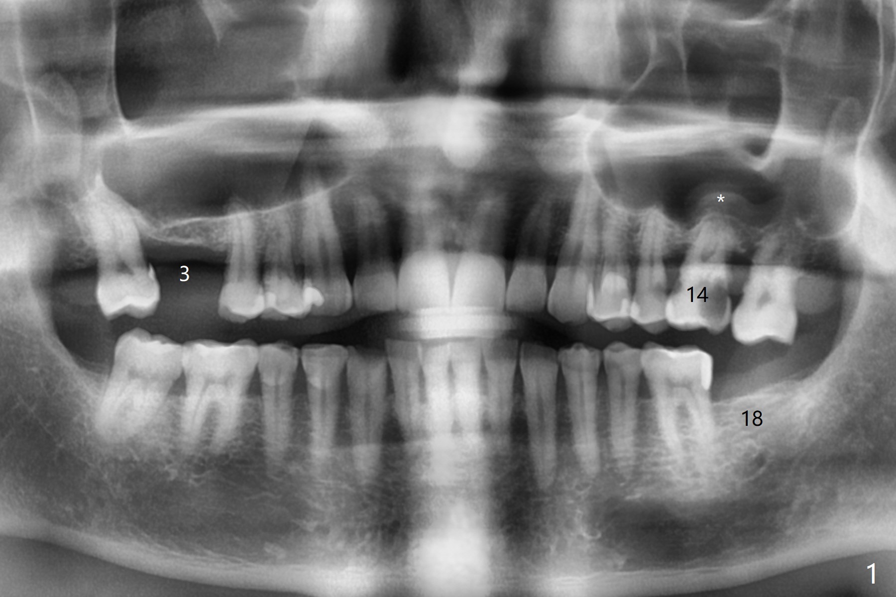
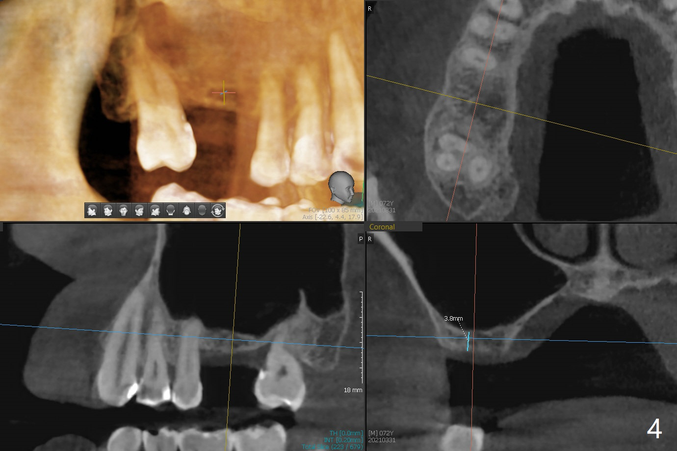
A 72-year-old man agrees to have #14 to be extracted for implant (Fig.1). In the first stage, impression is taken for #14 and 18 implant placement with guide. Due to odontogenic sinus infection (Fig.1,2 *), Z pack will be taken to prevent implant infection associated with sinus lift (Fig.2). Remove provisional and abutment once the sockets heal. To combat #15 supraeruption, the implant at #18 will be placed deep; if the torque is high, place a large diameter healing abutment or provisional with large base will be fabricated so that a short cuffed abutment will be used for final restoration. Heavy occlusal reduction at #15 will be conducted (Fig.3 curved lines). In spite of the fact that the bone height at #3 is 3-4 mm, the sinus floor is flat (Fig.4). Internal sinus lift is not expected to be too difficult. Use Magic Sinus Lifter, followed by implant placement at the same stage (Fig.5,6).
Return to Prevent Molar Periimplantitis (Protocols, Table) No Caries Metronidazole 第二磨牙即种 手术: 18 14 Xin Wei, DDS, PhD, MS 1st edition 03/31/2021, last revision 04/22/2021