![]() |
![]() |
![]() |
![]() |
![]() |
![]() |
各种方法处理骨质缺失
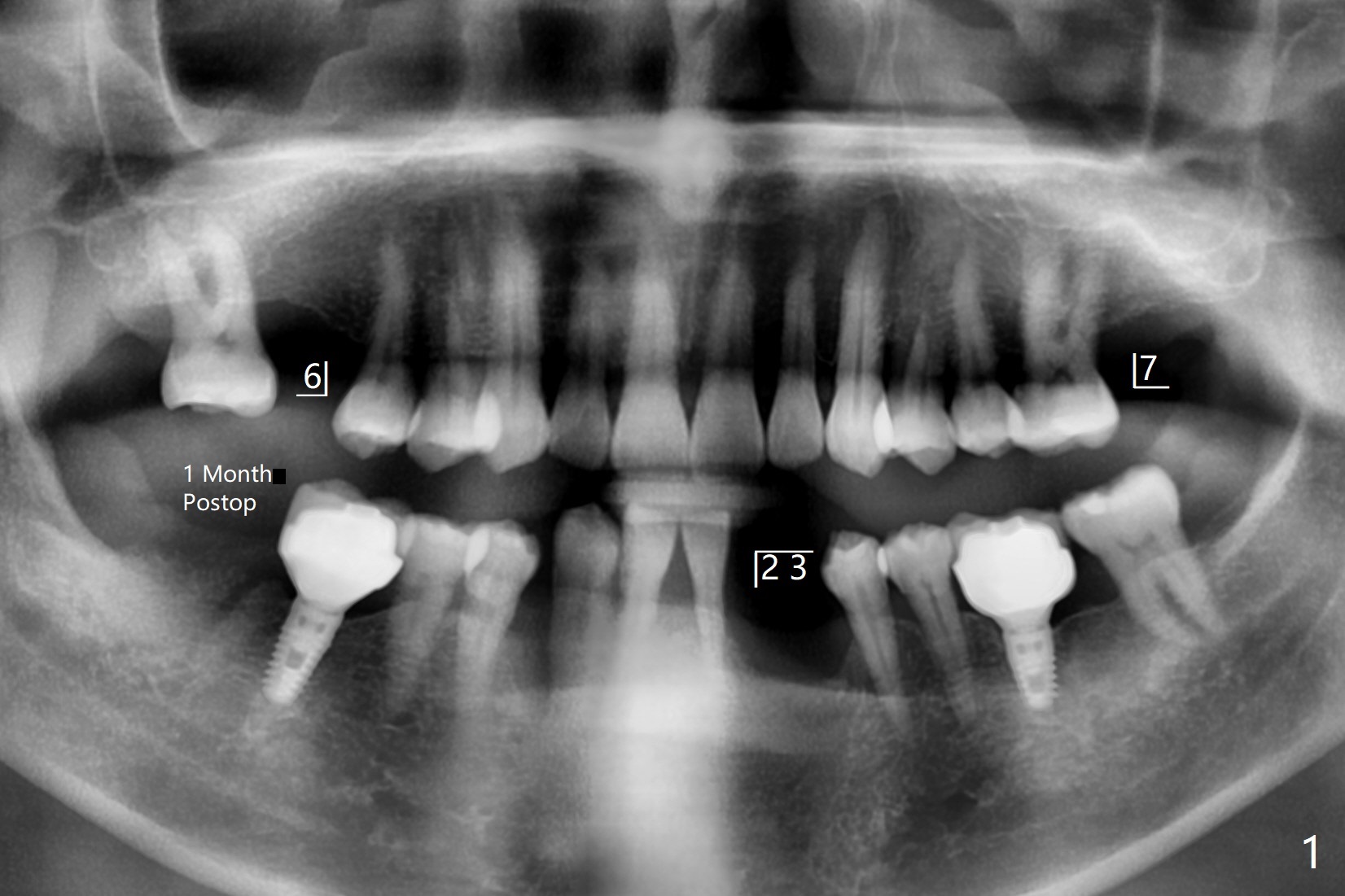
56岁男右下7位点保存一个月,还缺失4个牙齿(图一),左下2,3牙槽嵴特别狭窄,骨皮质为主(图二),应该植入2.0,2.5毫米植体(图三,四),避免复杂植骨术。而右上3骨质也狭窄,但是骨质密度低,几乎松质骨(图五),如果采纳骨膨胀术(高速倒转),植体可以大于4.0毫米,防止植体断裂。左上7骨质宽,但是短,5x8.5毫米植体可能胜任功能(图六)。如果植入10毫米植体,需要做上颌窦提升。
Return to No Caries Xin Wei, DDS, PhD, MS 1st edition 04/17/2021, last revision 04/17/2021