![]() |
![]() |
![]() |
![]() |
![]() |
![]() |
![]() |
![]() |
杞人忧天?
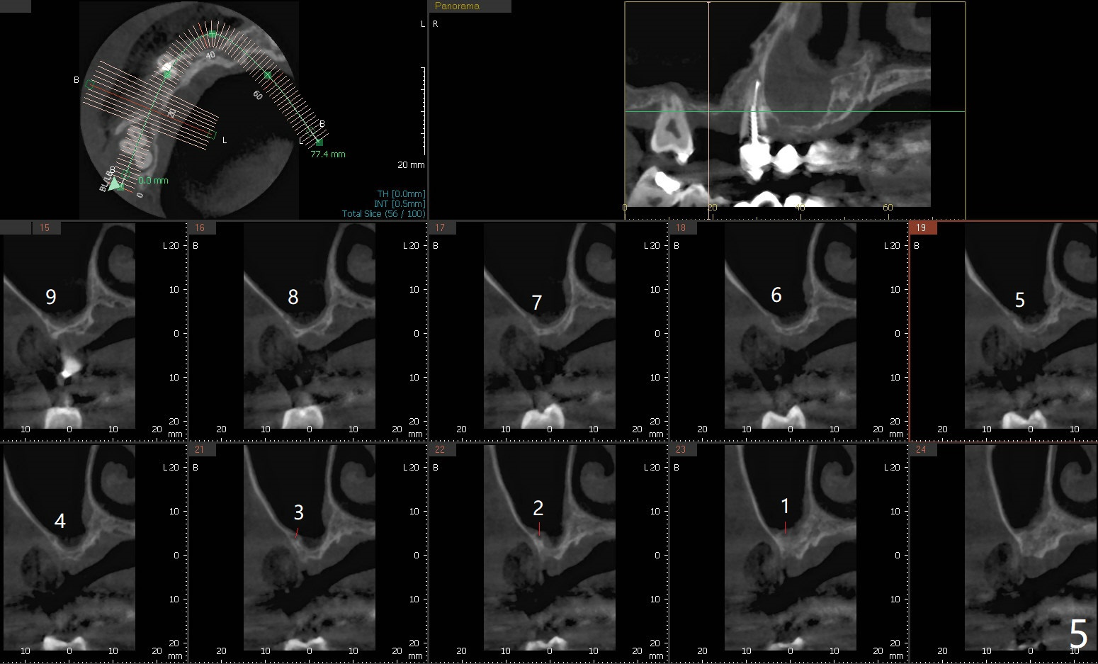
49岁女(图一)同意先做右上5,6种植(图二,三),但是必须先做外提升,高至5根尖(图二:红线),范围延申至右上7,后者骨质吸收厉害(图三:*),预后不佳。后者可能是好几年的事情,是杞人忧天?准备DIO Sinus Master Kit, sinus curettes (curved), a round flat osteotome (in sinus box) and mallet as well as PRFx2。图三黄线代表外提升入口。外提失败因为遇到动脉(图四),上牙槽中血管穿过上颌窦前壁(图五)。实验室建议在右上5种植(图六至八)。结果内提同期种植。
Return to
No Caries
第一磨牙即种
101
Xin Wei,
DDS, PhD, MS 1st edition 10/24/2020, last revision
05/16/2021