![]() |
![]() |
![]() |
![]() |
![]() |
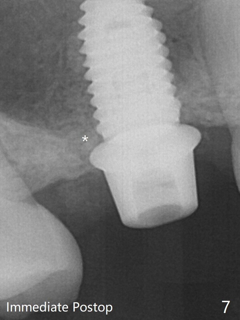
A 4.5x10 mm dummy implant is placed with high torque after 4x7.3 mm drill with 3 mm stopper so that 4.5x7.3 mm drill with 1 mm stopper is used before placement of a 5x8.5 mm final implant with ~ 35 Ncm (Fig.6-7). There is no pain when a 5.2x4(2) mm cemented abutment is torqued at 30-35 Ncm before impression (Fig.8). *: bone graft in the sinus. When the permanent crown is delivered, the patient feels light pain when she bites hard. The discomfort persists 4 months post cementation (Fig.9). The crown/abutment is replaced with a healing abutment (Fig.10).
Slippery Last Next Xin Wei, DDS, PhD, MS 1st edition 06/01/2020, last revision 10/05/2020