![]() |
![]() |
Guided Surgery
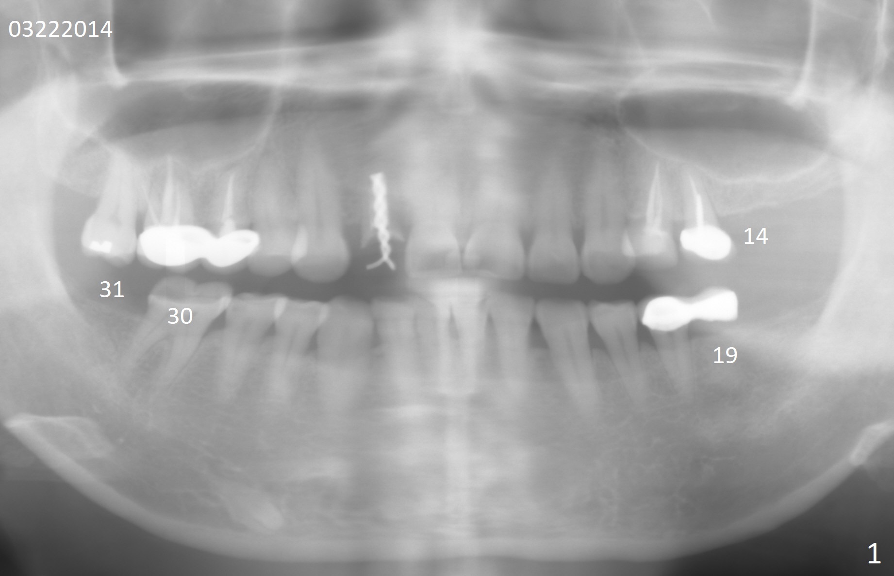
A 50-year-old healthy woman is determined to have implant placement at #14, 19 and 31 because of severe wear at #30. Crown will be fabricated at #30 first. The lower left cantilever bridge will be sectioned prior to CT and impression for scanning. Which implant should be placed first?
Return to
Upper
Lower
Molar Immediate Implant, Armaments
Xin Wei, DDS, PhD, MS 1st edition 12/02/2017, last revision 02/04/2018