![]() |
![]() |
![]() |
![]() |
![]() |
![]() |
![]() |
![]() |
![]() |
![]() |
![]() |
Avoid
Immediate Implant at Site of Severe Bone Loss M
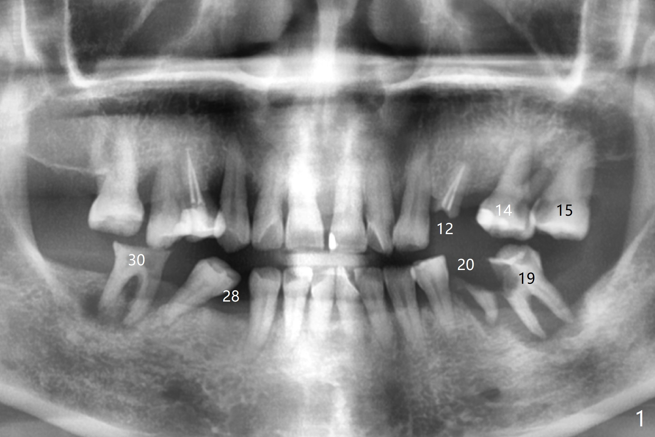
A 55-year-old woman has poor dentition, which is partially related to her previous history of ice chewing (Fig.1). The long bone height in the jaws suggests bruxism and requires as many teeth and implants as possible. After SRP, caries will be removed from #14 and 15 for determination of salvageability (Fig.2). The patient prefers to save the tooth #30. Endo referral will be recommended for #14 and 30. If the tooth #14 proves to be nonsalavageable, it will be extracted with #12 for immediate implants and subsequent FPD (Fig.3,4). Immediate implant will be avoided at #19 due to severe bone loss. Instead a short implant (5.5x5 or 6 mm) will be placed at #18, while a 4x11.5 mm one at #20 for FPD (Fig.5,6). All of the implant will use guides. There is a special point at #18. After use of 4.5 mm drill, the guide will be removed for free hand osteotomy using 5.0 mm drill, 5.5 mm tap and implant placement. PRF will be prepared for membrane and sticky bone at #19 and 20. For the lower right quadrant, treatment for #30 should be conducted first, either RCT or implant. The tooth #29 will be uprighted using #30 as an anchor, if the former is salvageable. The implant at #28 will be placed last (Fig.7,8).
Next appointment for SRP, the patient requests extraction the loose tooth #19. There is no time for #20 extraction and socket preservation (Fig.9). With preservation of the septal gingiva (Fig.9 *), the socket opening is small without exposure of the bone graft 4 days postop, when the periodontal dressing is lost (Fig.10). Because of the gingiva superior to the septum (Fig.11 S), the openings of the mesial and distal sockets (*) are easily being closed 2 weeks postop.
Return to
Full Mouth Immediate Implant,
Prevent Molar Periimplantitis (Protocols,
Table),
Trajectory,
No Antibiotic,
Ortho Cases
Xin Wei, DDS, PhD, MS 1st edition
02/17/2019, last revision
01/11/2020