![]() |
![]() |
![]() |
![]() |
|
![]() |
![]() |
![]() |
![]() |
|
![]() |
![]() |
![]() |
![]() |
![]() |
Reestablish Occlusion in Stage
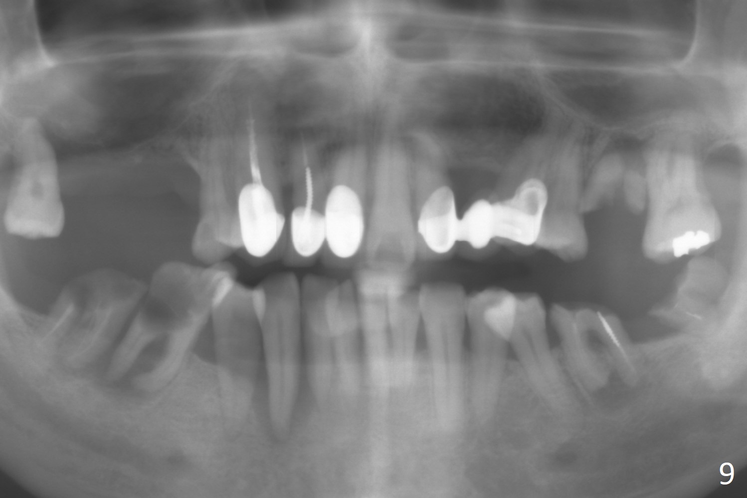
A 54-year-old man is 5 years post liver cancer surgery. After his platelet count returns normal, he wants to take care of his teeth. Most of his molars (#14, 19, 30,31) need extraction and implant placement (Fig.1-4). Although the 2nd premolars on the right are missing (Fig.1,3,4), it seems appropriate to establish 2 molar occlusion on the right (Fig.5,7,8) and 1 on the left (Fig.6,7 (because of #15 supraeruption (Fig.2 arrow))) . Since the residual roots in the lower right quadrant are irritating, implant placement will be done first (Fig.11, Clindamycin), followed by #2,3 (Fig.10) and 14(Fig.12 IBS) and 19 (Fig.12). Use IS drills and 4 and 5 mm stoppers to start osteotomy at #30 and 31, respectively.
If the patient accepts orthodontic treatment, molar implants should be placed distal for lower crowding and upper protrusion.
Return to
Upper
Lower
Molar Immediate Implants, Prevent
Molar Periimplantitis (Protocols,
Table), Armaments
Xin Wei, DDS, PhD, MS 1st edition 11/12/2017, last revision 11/19/2017