![]() |
![]() |
![]() |
![]() |
![]() |
![]() |
![]() |
![]() |
![]() |
![]() |
植体与窦底垂直
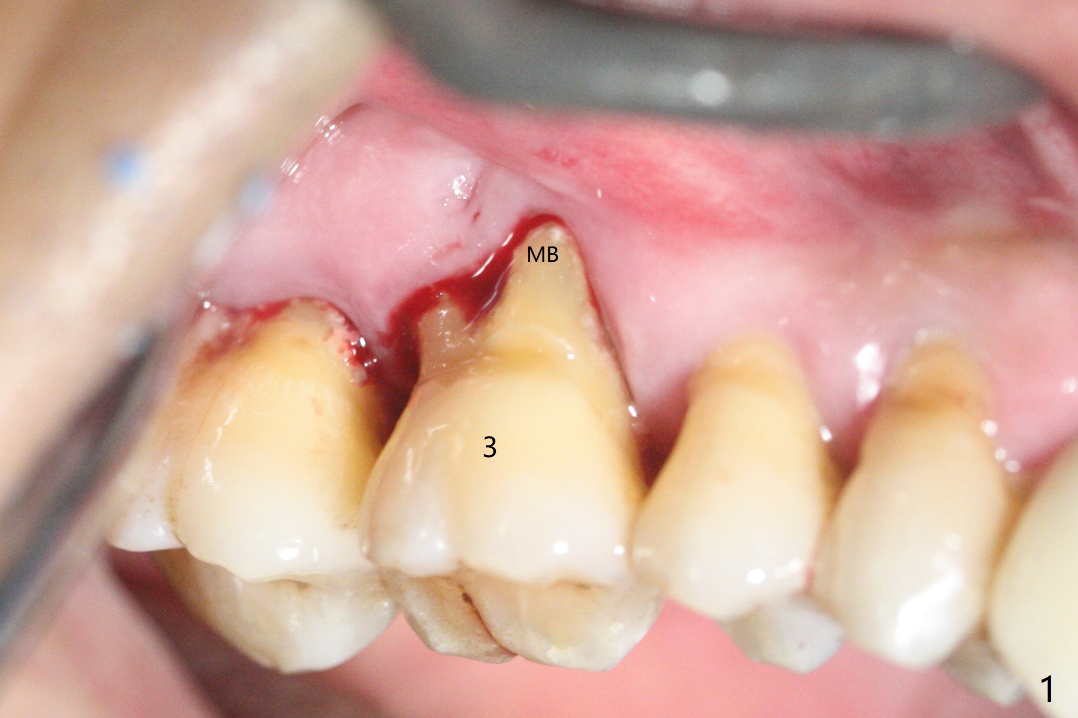
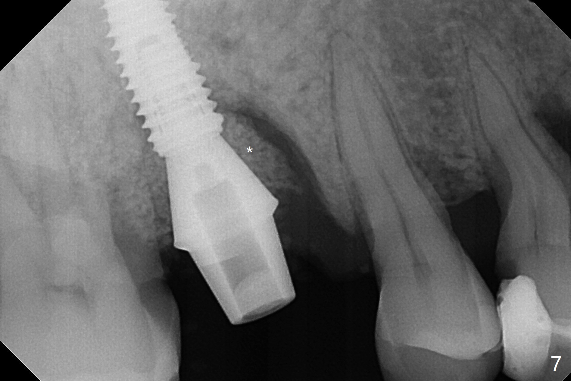
53岁男吸烟,牙周炎,咬合力大,3号牙颊侧(图一),腭侧(图二:P)牙龈退缩,尤其是近中颊侧根(图一:MB),拔牙后,中隔冠方(表面)有好像健康的牙龈(图三:*),近中,远中连接处切开(图三:虚线),将中隔牙龈推向近中颊侧牙槽窝(图四:箭头),修复退缩牙龈,而且暴露下面中隔(S),接着在它上面导板钻洞,避免软组织创伤。利用报废植体试图内提升(图五(红虚线:窦底)),最终正式植体完成提升(图六:黑*),初步在牙槽窝深部放置粘性骨粉(白*)后,放入基台,之后再次在植体,基台周围放置骨粉(图七:*),最后借助临时牙冠(图八,九:T)和外衬里(图八:R)封闭牙槽窝开口,G是近中颊侧迁移的牙龈。植体垂直进入上颌窦可以减少窦膜破裂(图五,六,九),术后没有鼻出血。术后1个月临时牙冠松动,去除牙冠和基台,安置愈合帽(图十)。表面骨粉遗失,但是颊侧移位的中隔牙龈好像帮助软组织预后。
Return to
Prevent Molar Periimplantitis (Protocols,
Table)
No Deviation
Torque 30
Xin Wei,
DDS, PhD, MS 1st edition 06/17/2021, last revision
07/15/2021