![]() |
![]() |
![]() |
Lateral Implant/Canine Post
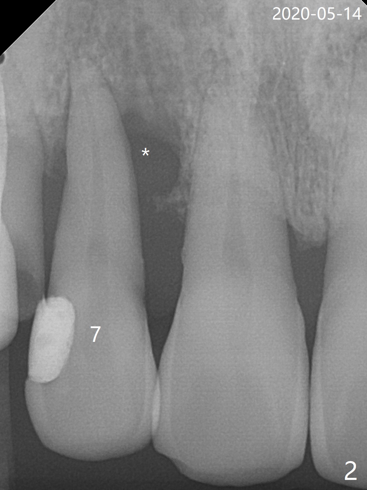
The tooth #7 (52 y/o, M, smoker) has mobility 2 months post #24/26, 30 implant placement without provisional (Fig.1,2) and seems to be necessary to be extracted for implant, while post and crown will be placed at #6 (Fig.3).
Return to
No Deviation
Metronidazole
Shield
Xin Wei, DDS, PhD, MS 1st edition
05/14/2020, last revision
05/15/2020