![]() |
![]() |
![]() |
Short and Narrow Implants
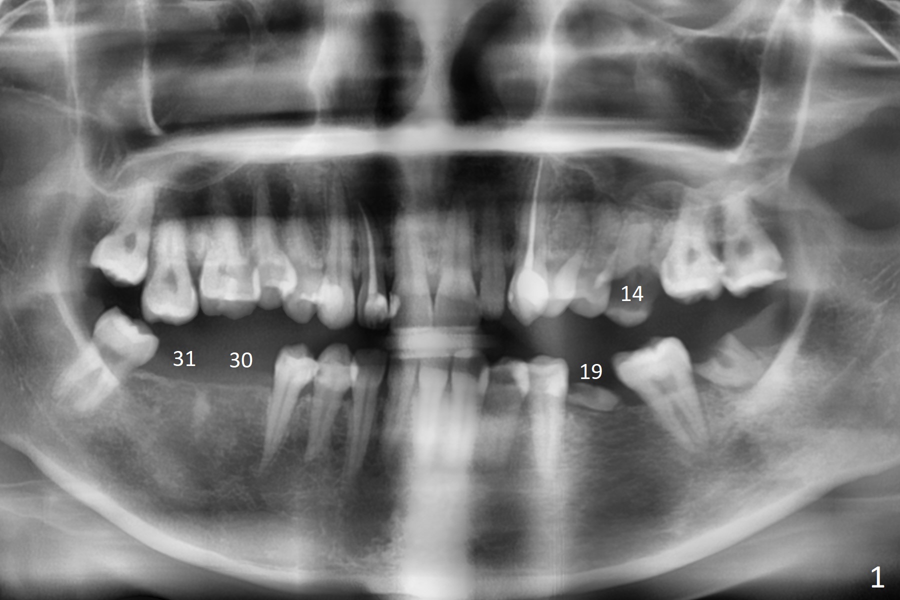
A 32-year-old woman has poor dentition: missing teeth and shifting (Fig.1). The teeth #14 and 19 will be extracted for implants (Fig.2,3 (5x8.5 and 4x11.5 mm)). Draw 2 tubes of blood for PRF. Prepare temporary and healing abutments for 14 and 19, respectively. SRP will be done with #17 extraction.
Return to
Upper
Lower
Molar Immediate Implant,
Prevent Molar Periimplantitis (Protocols,
Table),
Trajectory,
Metronidazole
Xin Wei, DDS, PhD, MS 1st edition
06/22/2019, last revision
07/04/2019