![]() |
![]() |
![]() |
![]() |
![]() |
![]() |
![]() |
![]() |
![]() |
![]() |
![]() |
![]() |
![]() |
![]() |
![]() |
Implants and Ortho
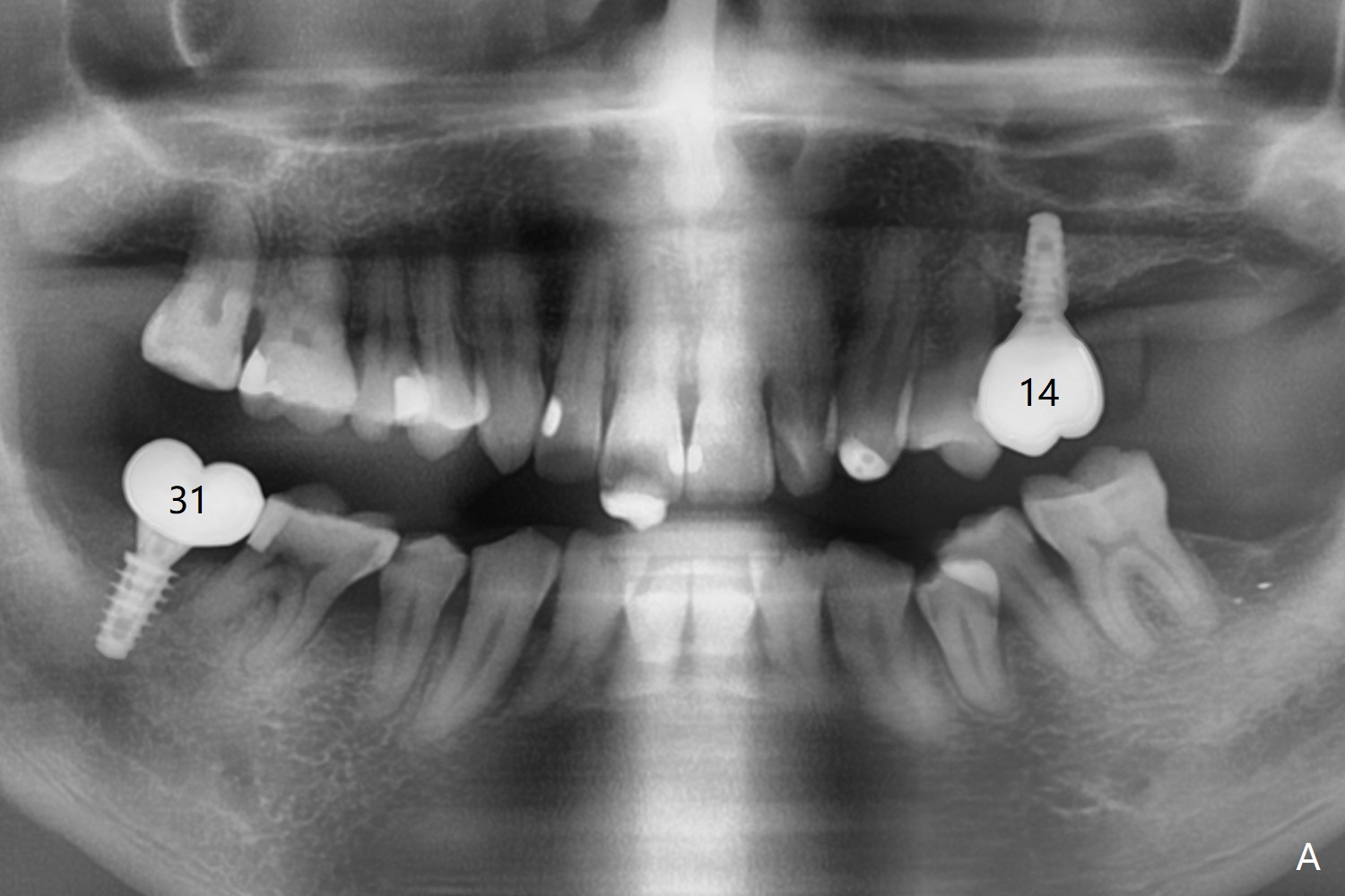
A 54-year-old man remains difficult in mastication in spite of implant placement at #14 and 31 (Fig. A, B, E, including screw loosening (poor trajectory at #14)). In addition to 2 more implants at #15 and 18 with guide, malocclusion seems to be necessary to be addressed (Fig.1-5). It appears that UR, LL4 should be extracted for orthodontic treatment (Fig.6-10). To reduce screw loosening, IS guide will be used to place IBS (5x9mm) and tissue-level (5x11mm) implants at #15 (PRF)and 18, respectively. If the one at #14 or 15 keeps loosening, splint #14 and 15 crowns. In fact the patient agrees with limited ortho (UR7 cross bite).
Return to
Upper
Lower
Molar Immediate Implant,
Trajectory
Xin Wei, DDS, PhD, MS 1st edition
05/27/2019, last revision
07/14/2019