![]() |
![]() |
![]() |
![]() |
![]() |
![]() |
![]() |
![]() |
||
Implant-Retained Denture
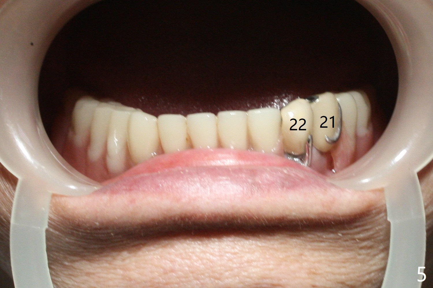
A 79-year-old woman is not pleased with cross bite and no tooth exposure of the upper complete denture (Fig.1-4). Her immediate concern is the loose lower RPD (Fig.5) after loss of the tooth #21 (Fig.6). The tooth #22 has mobility II. SM narrow implants will be placed at #22 and 27 immediately after #27 extraction (Fig.7,8). Ball abutments are going to be inserted prior to soft reline of the lower RPD. Prepare an acrylic bur to make a receptacle in the RPD for #27 abutment and high speed handpiece to section the tooth #22 as a denture tooth (prepare hard pink acrylic)
Return to
Lower
Canine Immediate Implant, Armaments,
Metronidazole
Xin Wei, DDS, PhD, MS 1st edition 07/16/2018, last revision 07/24/2018