![]() |
![]() |
![]() |
||
![]() |
![]() |
![]() |
![]() |
![]() |
![]() |
![]() |
![]() |
||
![]() |
![]() |
|||
![]() |
![]() |
![]() |
||
Cemented Abutment for Retention of Flipper
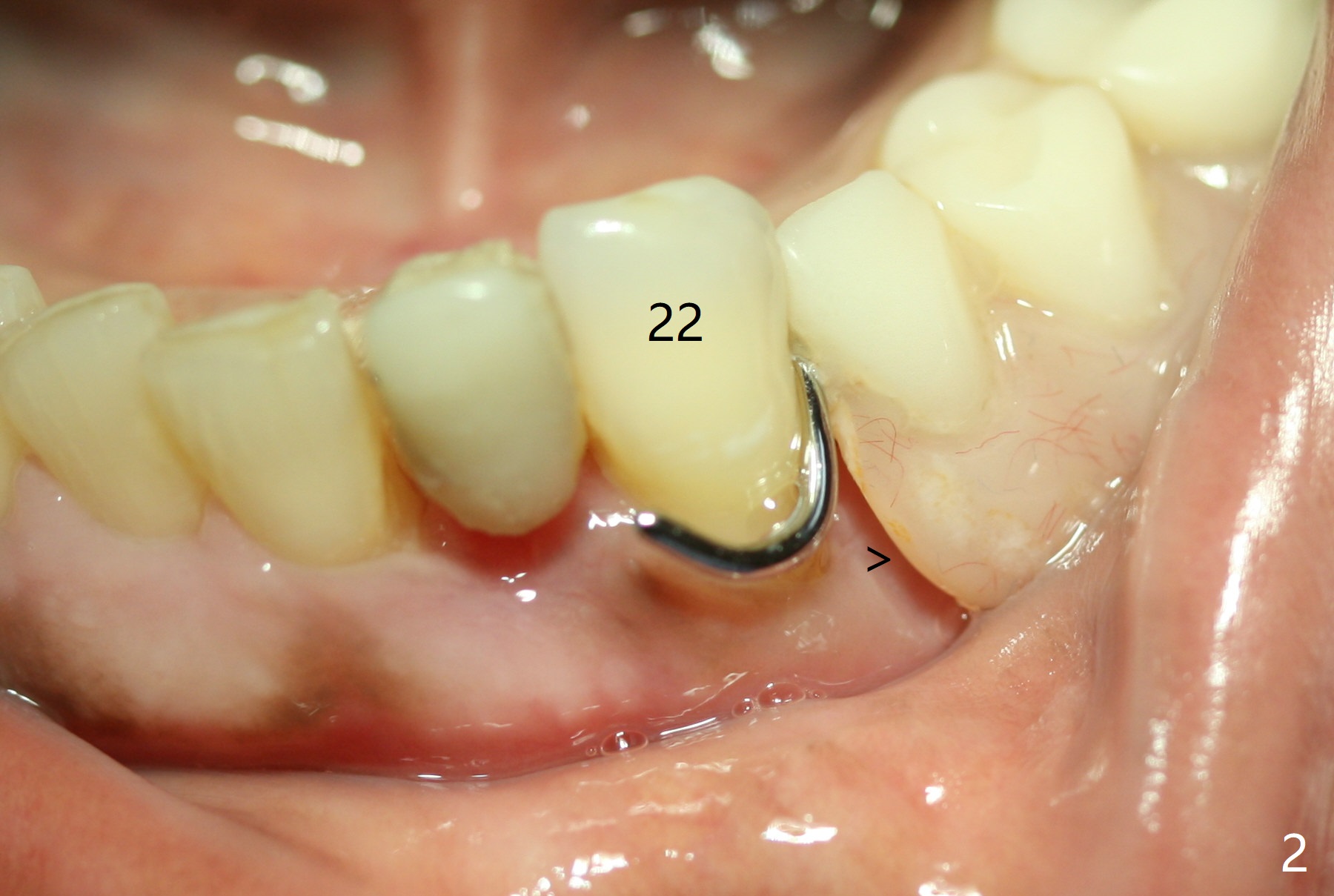
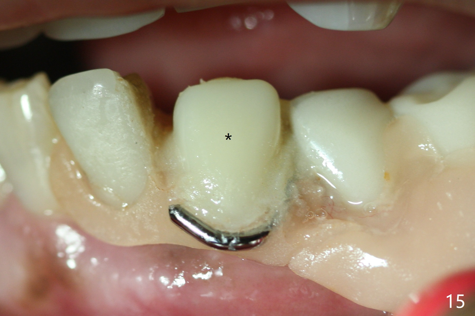
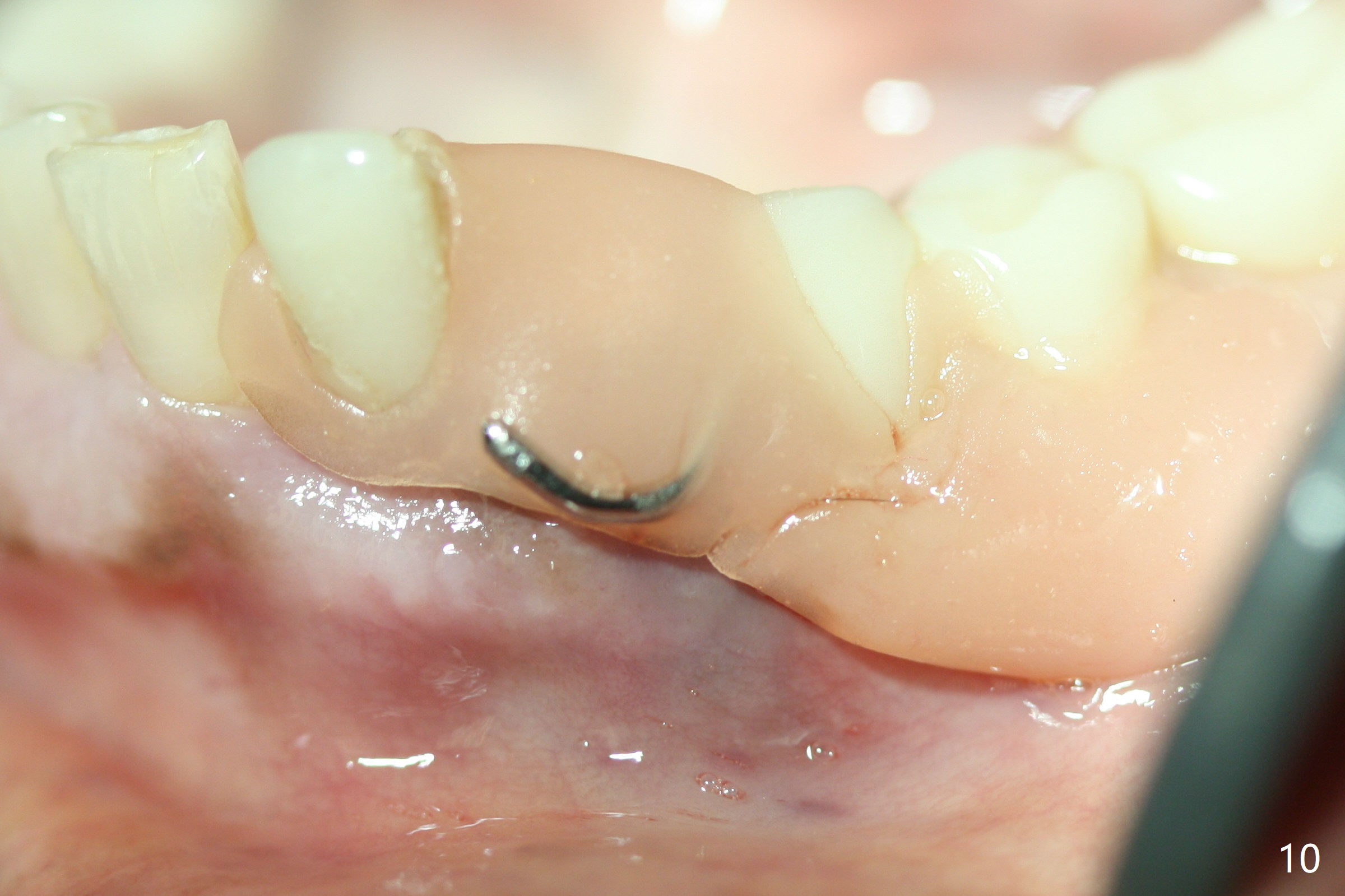
The inflammation around the tooth #22 (Fig.1 *) and mobility may be related to trauma from the only clasp of the lower flipper (Fig.2). The latter is loose with space underneath (>) and laterally (Fig.3 *). The distobuccal plate is defective upon extraction; the osteotomy is initiated in the mesiolingual slope of the socket (Fig.4) with ~ 6 mm native bone. When a 3.8x15 mm dummy implant achieves insertion torque of 50 Ncm, the insertion is incomplete with apical space (Fig.5 *). The definitive implant (3.8x13 mm) closes the apical space and obtains insertion torque >55 Ncm; a ball abutment with 2 mm cuff seems to be short for retention (Fig.6). A 4.5x4(5) mm cemented abutment (Fig.7,8) seems appropriate for retention after soft reline of the lower flipper (Fig.9-11). The socket heals without bone graft exposure 8 days postop (Fig.12,13). To satisfy the patient's desire to have a white tooth, the buccal portion of the soft reline and the abutment is removed (Fig.14) and a crown form is added (Fig.15 *). The socket obliterates 3 months postop (Fig.16).
Return to
Lower Canine
Immediate Implant,
Armaments,
Systemic Diseases
Xin Wei, DDS, PhD, MS 1st edition 08/16/2018, last revision 11/22/2018