![]() |
![]() |
![]() |
Traumatic Occlusion
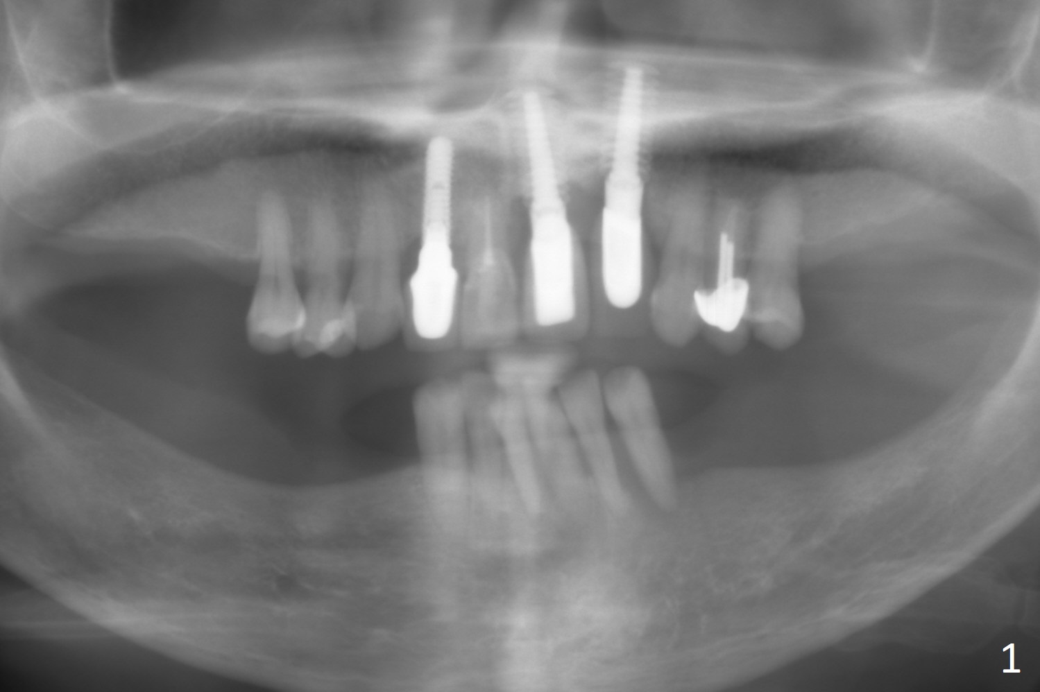
A 71-year-old woman is skinny with multiple missing teeth (Fig.1). Our final plan is to establish premolar occlusion. The first aim is to place implants at #22 and 23 with severe mobility and gingival recession (Fig.2). The latter is most likely due to traumatic occlusion from #10 implant crown. Pay attention to occlusion while an immediate provisional is being fabricated. After extraction, trajectory should be set up as shown by red lines in Fig.3. Initiate osteotomy in the middle of the sockets (buccolingually) and use the narrowest implants (2.5, 3.5 mm) to avoid the lingual plate perforation. Take preop photos to show #9,10 gingival recession.
Return to Lower Canine and Incisor Immediate Implant, Armaments, Clindamycin Xin Wei, DDS, PhD, MS 1st edition 12/02/2017, last revision 10/07/2018