![]() |
![]() |
|
![]() |
![]() |
FPD (M)
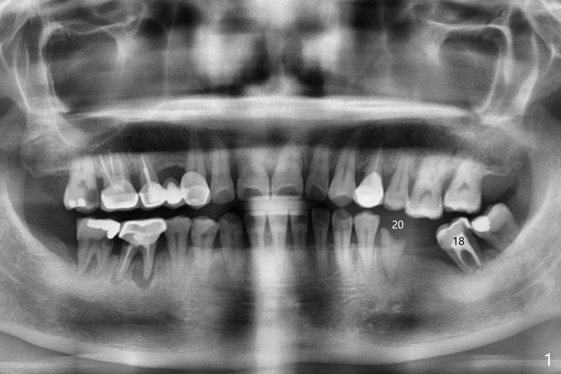
A 33-year-old woman fractures #20 equigingival with caries (Fig.1,2 barely salvageable). The ridge at #19 is atrophic (Fig.3), while the tooth #18 has mobility II (Fig.4). It seems that the best option would be extraction of #18 and 20 and immediate implant with guide (Fig.4). The tooth #20 is vital; socket shield will be conducted. To further prevent buccal plate collapse, a 3.5 or 4.0x10 mm implant will be placed lingual (Fig.2).
Return to
Lower
Molar Immediate Implant,
Prevent Molar Periimplantitis (Protocols,
Table)
No Deviation
No Antibiotic
Shield
Xin Wei, DDS, PhD, MS 1st edition
12/03/2019, last revision
12/23/2019