![]() |
![]() |
![]() |
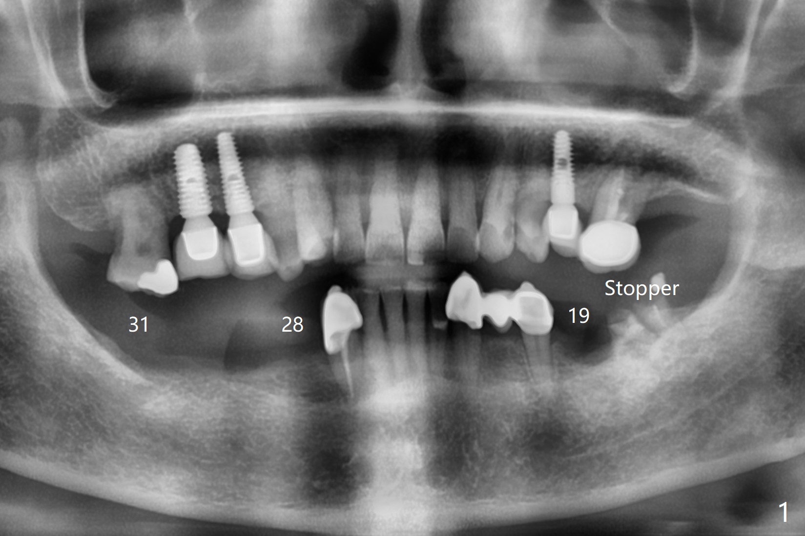
Cantilever FPD and Distal Stopper
A 69-year-old woman requests conversion of the lower RPD to implant restoration. Initially implants are going to be placed at #19, 28, 29, and 31 (Fig.1,2). CT exam shows short bone at #31 (Fig.2). Please try to place implants at #28-30 for a cantilever FPD (Fig.3) if reasonable. When making guide(s), please use #18 residual roots as a distal stopper (Fig.1) if practical.
Return to
Protect
Graft
Xin Wei,
DDS, PhD, MS 1st edition 08/09/2021, last revision
08/10/2021