![]() |
![]() |
![]() |
![]() |
Bruxism
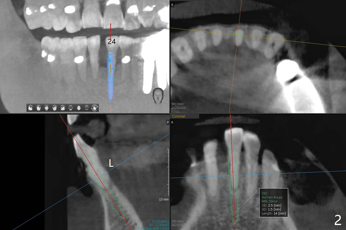
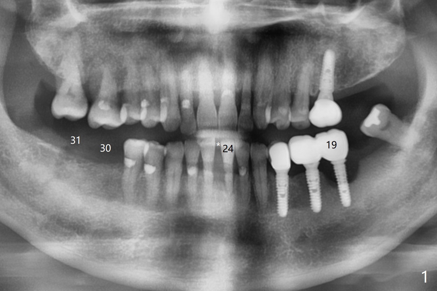
A 66-year-old man requests implant placement at #24, 30 and 31 (Fig.1). Bone loss at #19 and 24 lingual (Fig.2) suggests bruxism. The implant at #24 will be as buccal and mesial (to close the diastema between 24 and 25 (Fig.1 *)) as possible (Fig.2). The vertical space for restoration of 30 and 31 implants (Fig.3,4) is limited; the cusps of the opposing teeth may need to be trimmed.
Return to
No
Caries
Metronidazole
Torque
Surgery: 24 30/31
Xin Wei,
DDS, PhD, MS 1st edition 03/22/2021, last revision
07/12/2021