![]() |
![]() |
![]() |
![]() |
|
![]() |
![]() |
![]() |
![]() |
|
Short, Narrow Implants M
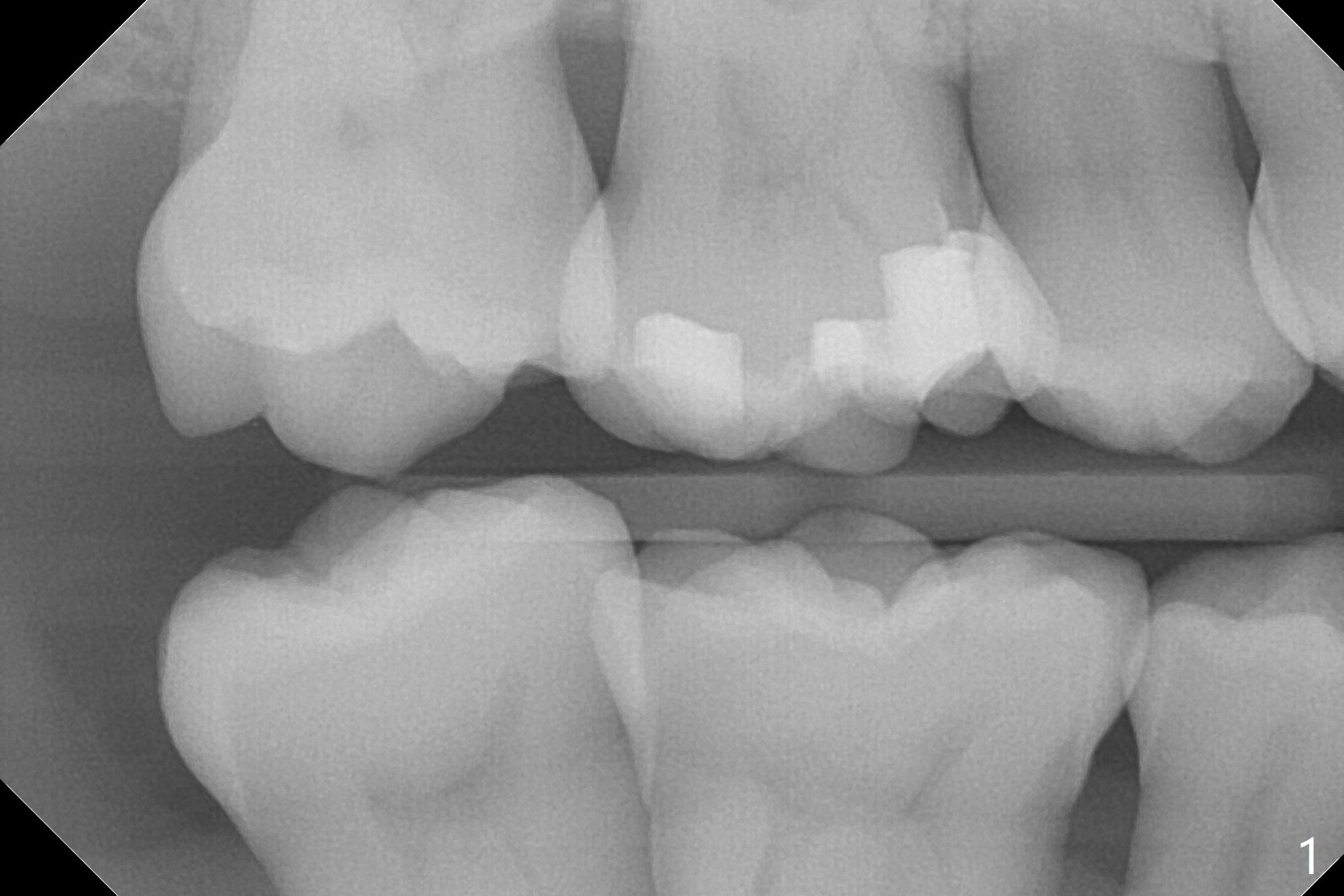
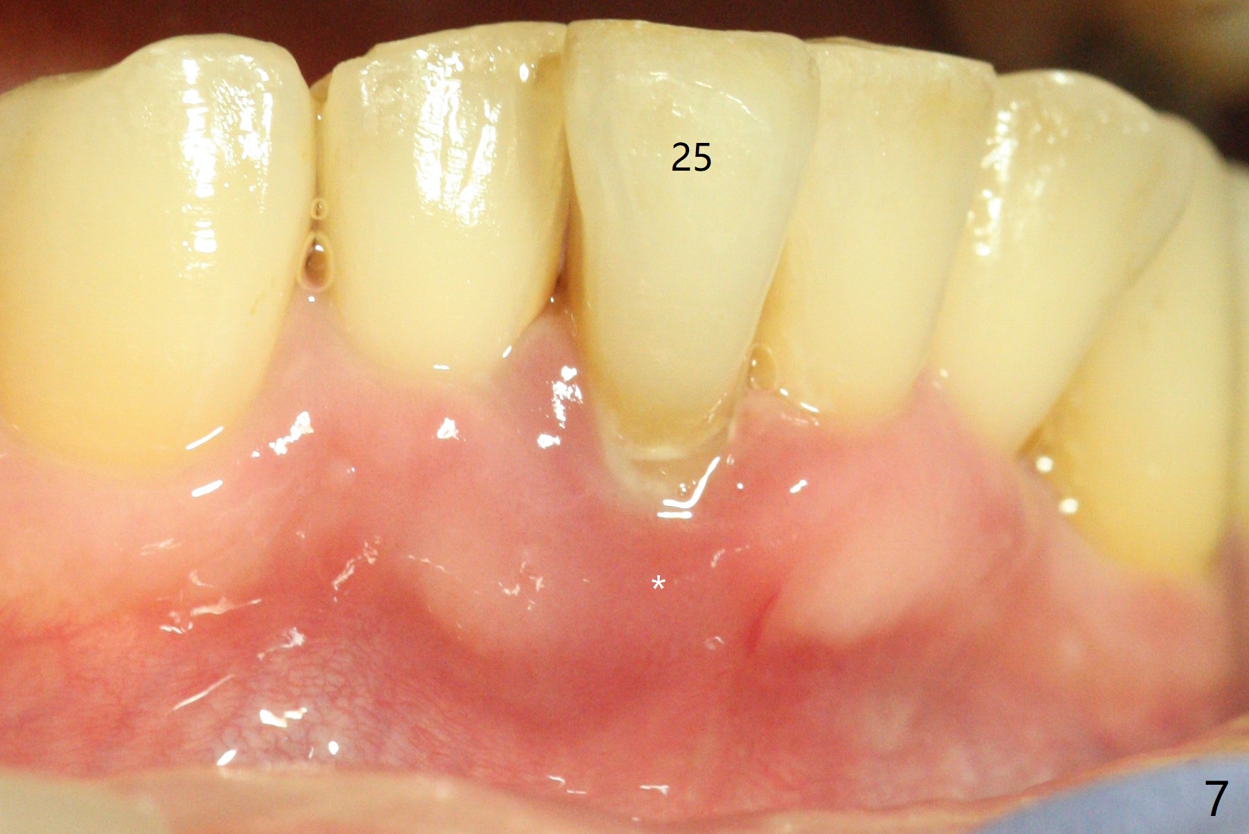
A 47-year-old man, a possible bruxer (Fig.1), is concerned about the mobile 2nd molar and lower central incisor (Fig.2,3). To prevent periimplantitis, a 2 mm 1-piece implant and a short one (5x5 mm) will be placed subcrestal at these sites, respectively (Fig.4,5). Sticky bone is a must. Pulpal test will determine whether RCT is required for #30 (Fig.5 curved white line). In fact the tooth #30 is tested to be vital. Onlay graft is an option for #31 (Fig.6 red rectangle). There is history of #32 extraction. The severely periodontally affected tooth #25 (Fig.7 *) has narrow mesiodistal space (Fig.8). It is the best treated with extraction with bone graft and self drifting.
Lower
Molar Immediate Implant,
Prevent Molar Periimplantitis (Protocols,
Table)
No Deviation
Clindamycin Metronidazole
No Antibiotic
Ortho Cases
Shield
Waterlase
Xin Wei, DDS, PhD, MS 1st edition
12/25/2019, last revision
12/29/2019