![]() |
![]() |
![]() |
![]() |
![]() |
![]() |
3 Ball
Abutments for Lower RPD
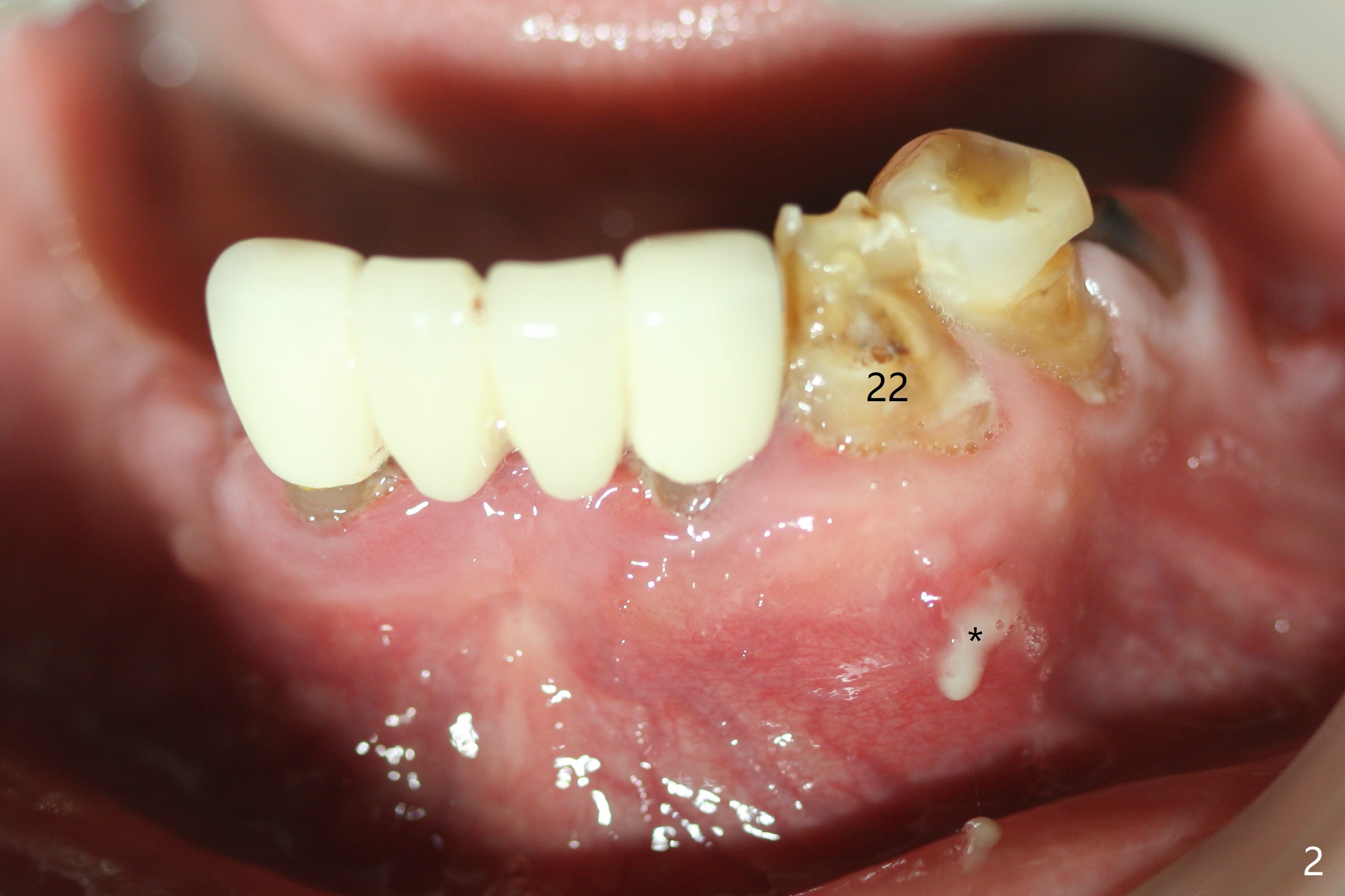
A 82-year-old man with poor dentition (upper and lower RPDs) returns to clinic for definitive treatment 2 weeks post socket preservation at #27 (with loss of the buccal plate, Fig.1). The bridge at #23-26 is mobile and to be removed. The tooth #22 appears to be restorable, but there is a buccal fistula (Fig.2 *). The root is out of the socket revealed by CBCT (Fig.5). Bone loss is severe at #20 (Fig.1,6). Three implants are going to be placed with guide at 27 or 26, 22 and 20 (Fig.3-6) with ball abutments for the lower RPD retention. Later the tooth #18 is found to be nonsalvageable.
Return to
Lower Arch
Immediate Implant,
Trajectory,
Clindamycin
Xin Wei, DDS, PhD, MS 1st edition
01/02/2019, last revision
08/21/2019